Bem-vindo ao nosso blog especializado em odontologia, onde abordamos temas cruciais para a prática clínica e o aprimoramento profissional dos dentistas.
Hoje, vamos explorar um tópico que pode gerar dúvidas até mesmo entre os mais experientes: a hipoplasia de esmalte dentário.
Compreender essa condição é essencial para oferecer um diagnóstico preciso e um tratamento eficaz aos pacientes.
Vamos mergulhar fundo neste tema, discutindo o que é a hipoplasia de esmalte, seus sintomas, causas e as melhores abordagens terapêuticas.

Sumário
- O que é hipoplasia de esmalte?
- Quais os sintomas da hipoplasia de esmalte?
- Quais as causas da hipoplasia de esmalte?
- Tratamentos para hipoplasia de esmalte no dente
- Conclusão
- Referências:
O que é hipoplasia de esmalte?
A hipoplasia de esmalte é uma anomalia no desenvolvimento do esmalte dos dentes, que resulta na formação inadequada ou insuficiente dessa camada protetora.
O esmalte é o tecido mais duro do corpo humano, essencial para proteger os dentes contra cáries e desgastes.
Quando há hipoplasia, o esmalte pode se apresentar mais fino, com superfícies irregulares e vulneráveis a danos.

Quais os sintomas da hipoplasia de esmalte?
A hipoplasia de esmalte dentário apresenta uma variedade de sintomas que podem ser notados tanto pelos pacientes quanto pelos profissionais da odontologia.
É importante estar atento a esses sinais para um diagnóstico precoce e um tratamento adequado.
Vamos explorar mais detalhadamente os principais sintomas dessa condição:

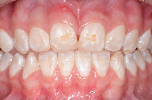
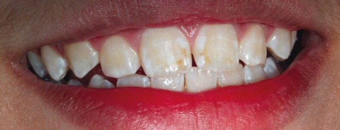
Aparência
Uma das características mais evidentes da hipoplasia de esmalte é a presença de manchas na superfície dos dentes.
Essas manchas podem ser brancas, amarelas ou marrons, variando conforme a gravidade e a extensão da hipoplasia.
As manchas brancas são frequentemente as primeiras a aparecer e indicam áreas onde o esmalte é menos denso ou ausente.
Além das manchas, os dentes podem apresentar uma descoloração geral, parecendo mais opacos ou translúcidos em comparação aos dentes normais.
Essa descoloração é uma indicação visual da falta de espessura e densidade do esmalte.
Em casos mais severos, a hipoplasia pode afetar a forma e o tamanho dos dentes, resultando em dentes mais pequenos, com contornos irregulares ou até mesmo deformados.
Textura
A textura dos dentes com hipoplasia de esmalte é notavelmente diferente.
A superfície pode ser rugosa ou irregular, contrastando com a superfície lisa e brilhante do esmalte saudável.
Esta rugosidade pode ser facilmente detectada durante um exame clínico ou até mesmo percebida pelo paciente ao passar a língua sobre os dentes.
A falta de esmalte adequado pode resultar na formação de fissuras e fendas na superfície dentária.
Essas imperfeições não só comprometem a estética, mas também criam áreas propensas ao acúmulo de placa bacteriana e restos alimentares, aumentando o risco de cáries e infecções.

Sensibilidade
Dentes com hipoplasia de esmalte tendem a ser mais sensíveis a estímulos térmicos e químicos.
Pacientes frequentemente relatam desconforto ou dor ao consumir alimentos e bebidas quentes, frias, doces ou ácidas.
Esta sensibilidade é resultado direto da exposição da dentina, que fica menos protegida devido ao esmalte insuficiente.
Em alguns casos, a sensibilidade pode evoluir para dor persistente, especialmente quando há exposição prolongada a fatores irritantes ou desenvolvimento de cáries nas áreas afetadas.
Propensão a Cáries
A hipoplasia de esmalte aumenta significativamente o risco de cáries dentárias.
A menor espessura do esmalte deixa a dentina subjacente mais vulnerável à ação de bactérias cariogênicas.
Além disso, a superfície rugosa e as fendas criam nichos ideais para a retenção de placa bacteriana, dificultando a limpeza eficiente e promovendo o desenvolvimento de lesões cariosas.
As cáries em dentes com hipoplasia de esmalte tendem a progredir mais rapidamente devido à falta de proteção do esmalte.
Isso pode levar a um comprometimento estrutural severo do dente em um curto período de tempo, exigindo intervenções mais extensivas e complexas.
Reconhecer esses sintomas é crucial para um diagnóstico precoce e um tratamento eficaz da hipoplasia de esmalte.
Profissionais da odontologia devem estar atentos a esses sinais durante os exames clínicos de rotina e educar os pacientes sobre a importância de relatar qualquer alteração na aparência, textura ou sensibilidade dos dentes.
Um diagnóstico precoce permite a implementação de medidas preventivas e terapêuticas que podem melhorar significativamente a saúde bucal e a qualidade de vida dos pacientes afetados por essa condição.

Quais as causas da hipoplasia de esmalte?
A hipoplasia de esmalte pode ser atribuída a diversos fatores, que incluem desde questões genéticas até influências ambientais.
Vamos examinar algumas das causas mais comuns:
Falta de vitamina D e A no organismo
As vitaminas D e A são fundamentais para o desenvolvimento adequado dos dentes.
A deficiência dessas vitaminas pode comprometer a mineralização do esmalte durante a formação dentária, resultando em hipoplasia.
A vitamina D, em particular, é crucial para a absorção de cálcio e fosfato, minerais essenciais para a saúde dentária.
Infecções e Doenças
Infecções severas durante a infância, como sarampo, podem interferir no desenvolvimento normal dos dentes.
Além disso, doenças maternas durante a gravidez, como rubéola e sífilis, também podem afetar o esmalte dos dentes em formação do feto.

Uso de Medicamentos
Certos medicamentos tomados durante a infância ou a gravidez podem contribuir para a hipoplasia de esmalte.
Por exemplo, a tetraciclina, um antibiótico, é conhecida por causar descoloração e defeitos no esmalte quando administrada durante períodos críticos de desenvolvimento dentário.
Fatores Genéticos
A genética desempenha um papel significativo na formação do esmalte.
Algumas condições hereditárias, como a amelogênese imperfeita, resultam em hipoplasia de esmalte devido a mutações nos genes responsáveis pela formação do esmalte.

Fluorose
A exposição excessiva ao flúor durante a infância pode levar à fluorose dental, uma condição que resulta em manchas brancas e hipoplasia do esmalte.
O flúor é benéfico em quantidades adequadas, mas seu excesso pode prejudicar a mineralização adequada do esmalte.
Uso de cigarro durante a gravidez
O tabagismo materno durante a gravidez está associado a diversos problemas de saúde para o feto, incluindo defeitos no desenvolvimento dental.
Substâncias tóxicas no cigarro podem interferir na formação adequada do esmalte, resultando em hipoplasia.

Tratamentos para hipoplasia de esmalte no dente
O tratamento da hipoplasia de esmalte visa melhorar a estética e a funcionalidade dos dentes afetados, além de proteger contra cáries e desgaste.
As abordagens terapêuticas podem variar conforme a severidade da condição e as necessidades individuais do paciente:
- Fluoreto: A aplicação de gel de fluoreto pode ajudar a remineralizar e fortalecer o esmalte, reduzindo a sensibilidade e a susceptibilidade a cáries.
- Selantes Dentários: Os selantes podem ser aplicados nas superfícies dos dentes para proteger áreas vulneráveis, especialmente em crianças e adolescentes.
- Restaurações: Restaurações com resina composta são uma solução comum para reparar danos ao esmalte, melhorando a estética e a funcionalidade.
- Facetas de Porcelana: Em casos mais severos, facetas de porcelana podem ser usadas para cobrir e proteger os dentes afetados, proporcionando uma aparência natural e uma superfície lisa.
- Coroas Dentárias: Quando a hipoplasia é extensa, as coroas podem ser necessárias para cobrir e proteger o dente inteiro, oferecendo uma solução duradoura e robusta.

Conclusão
A hipoplasia de esmalte dentário é uma condição que requer atenção especializada para garantir o melhor cuidado possível aos pacientes.
Com um diagnóstico preciso e um plano de tratamento adequado, é possível mitigar os impactos desta condição e melhorar significativamente a saúde bucal dos pacientes.
A EAP-Goiás, oferece cursos de especialização que capacitam os profissionais da odontologia a enfrentar desafios como a hipoplasia de esmalte com competência e inovação.
Se você deseja aprofundar seus conhecimentos e expandir suas habilidades, conheça os cursos de especialização da EAP-Goiás e transforme sua carreira odontológica.
Visite nosso site e descubra mais sobre nossos cursos de especialização!
Referências:
https://www.tuasaude.com/hipoplasia-do-esmalte-dentario
https://www.codental.com.br/blog/hipoplasia-de-esmalte-tudo-que-voce-precisa-saber
https://blog.odontoclinic.com.br/clinica-geral/hipoplasia-de-esmalte/
https://drsergiocaetano.com.br/o-que-e-a-hipoplasia-do-esmalte/
*O texto acima não foi escrito por cirurgião dentista, portanto a EAP não se responsabiliza pelas informações, uma vez que não possuem caráter científico.