21 mar 2025
EAPGOIAS, Fique Sabendo

Microabrasão dental: Para que serve?

Mulher sorrindo. Seus dentes estão claros e sem manchas.

A busca por um sorriso uniforme e livre de manchas tem impulsionado avanços significativos na odontologia estética.

Entre os procedimentos minimamente invasivos, a microabrasão dental se destaca como uma solução eficaz para remover alterações superficiais, proporcionando um resultado harmônico sem a necessidade de intervenções mais agressivas.

Mas, afinal, o que é a microabrasão, quando ela deve ser indicada e quais seus reais benefícios?

Neste artigo, exploraremos cada detalhe dessa técnica, trazendo informações essenciais para o profissional de odontologia que deseja oferecer esse tratamento aos seus pacientes.

Dentista e assistente realizando tratamento em paciente.
A microabrasão dental é uma alternativa eficaz e segura para remover manchas superficiais do esmalte, promovendo um sorriso mais uniforme e estético. (Reprodução/Pexels)

Sumário

O que é a microabrasão de esmalte?

A microabrasão de esmalte é um procedimento odontológico minimamente invasivo que combina a utilização de um ácido (geralmente clorídrico ou fosfórico) com um agente abrasivo, como a pedra-pomes, para remover manchas e alterações superficiais no esmalte dental.

Essa técnica é especialmente eficaz em casos de hipoplasia do esmalte, fluorose dental e pigmentações adquiridas.

A remoção controlada da camada superficial do esmalte não apenas melhora a estética dental, mas também preserva sua integridade estrutural, tornando-se uma alternativa conservadora para pacientes que buscam reabilitação estética sem recorrer a procedimentos restauradores mais invasivos.

Além disso, a microabrasão pode melhorar a uniformidade da superfície dental, proporcionando um esmalte mais homogêneo e refletindo melhor a luz, o que contribui para um aspecto naturalmente mais brilhante.

A aplicação dessa técnica, quando realizada de maneira criteriosa e associada a cuidados pós-procedimento adequados, garante resultados previsíveis e satisfatórios a longo prazo, reforçando sua importância dentro da odontologia estética contemporânea.

dentista aplicando ácido para microabrasão dental em dente de paciente, que está com espuma protegendo as gengivas
A microabrasão nos dentes é um procedimento odontológico que utiliza ácidos e abrasivos para remover manchas superficiais. (Reprodução/Ultradent)

Quando realizar a microabrasão dental?

A microabrasão é indicada para pacientes que apresentam manchas superficiais no esmalte, especialmente aquelas decorrentes de fatores extrínsecos e intrínsecos que comprometem a estética do sorriso.

Entre as principais indicações clínicas, destacam-se:

  • Fluorose dental leve a moderada:

Caracterizada por manchas esbranquiçadas, amarronzadas ou opacas resultantes da ingestão excessiva de flúor durante a formação do esmalte.

A microabrasão atua removendo as camadas superficiais afetadas, promovendo um esmalte mais homogêneo e esteticamente satisfatório.

  • Hipoplasia do esmalte:

Deficiência na formação do esmalte, que pode gerar alterações de textura e coloração.

A técnica é eficaz para suavizar irregularidades e minimizar imperfeições visíveis.

  • Manchas extrínsecas persistentes:

Pigmentações causadas pelo consumo frequente de alimentos e bebidas cromogênicas, como café, vinho tinto e chás, além de hábitos como o tabagismo.

A microabrasão auxilia na remoção dessas manchas quando métodos convencionais de profilaxia não são suficientes.

  • Lesões de cárie incipientes:

Pequenas áreas de desmineralização inicial, quando ainda não há cavitação.

A técnica pode ser utilizada para remineralizar e restaurar a estética da superfície afetada.

Além dessas indicações, a microabrasão pode ser utilizada como um procedimento complementar ao clareamento dental, potencializando os resultados e garantindo uma coloração mais uniforme.

No entanto, é fundamental que o profissional avalie a profundidade das lesões e a espessura do esmalte remanescente antes de indicar o procedimento, assegurando sua viabilidade e eficácia.

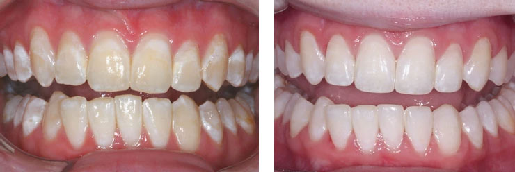
antes e depois de procedimento microabrasão dental
A microabrasão é indicada para tratar manchas brancas, amareladas ou acastanhadas no esmalte dental causadas por fluorose, desmineralização ou outros fatores.

Passo a passo da microabrasão de esmalte

  1. Proteção dos tecidos moles – Antes de iniciar o procedimento, realiza-se o isolamento absoluto ou relativo da região tratada para evitar contato do agente abrasivo com gengiva e mucosa oral, prevenindo eventuais lesões ou desconforto ao paciente.
  2. Aplicação do agente abrasivo – A mistura de ácido e abrasivo é cuidadosamente depositada sobre a superfície do esmalte comprometida por alterações pigmentares, garantindo uma distribuição homogênea da substância.
  3. Esfregação controlada – Utilizando uma taça de borracha ou escova rotatória de baixa velocidade, a fricção do composto sobre o esmalte é realizada de forma controlada e intermitente para remover progressivamente as manchas, sem comprometer a estrutura dentária.
  4. Lavagem e avaliação – Após cada ciclo de aplicação e fricção, a superfície dental é lavada com jato de ar/agua e cuidadosamente examinada para verificar a redução das alterações e necessidade de repetição do procedimento.
  5. Reaplicação (se necessário) – O protocolo pode ser repetido até que a tonalidade do esmalte seja satisfatoriamente uniformizada, sempre respeitando os limites de segurança do tecido dentário.
  6. Polimento e fluoretação – Para finalizar, a superfície é polida com pastas abrasivas menos agressivas, promovendo brilho e suavidade ao esmalte.

Em seguida, aplica-se fluoreto para fortalecer a estrutura dentária e minimizar sensibilidades pós-procedimento.

Utilizando escova rotatória em produto de microabrasão dental no dente do paciente.
O procedimento envolve a aplicação de uma pasta abrasiva ácida sobre o esmalte dental, seguida de polimento controlado para remover imperfeições na superfície. (Reprodução/Ultradent)

Como funciona a microabrasão com o clareamento dental?

A associação entre microabrasão e clareamento dental é uma estratégia amplamente utilizada na odontologia estética para maximizar os resultados e proporcionar um sorriso uniforme e natural.

Enquanto a microabrasão atua removendo irregularidades e pigmentações superficiais do esmalte por meio da abrasão química e mecânica controlada, o clareamento dental complementa o procedimento, clareando a estrutura dental como um todo.

Essa sinergia é especialmente benéfica para pacientes com fluorose dental moderada, nos quais há opacidades esbranquiçadas ou amarronzadas que comprometem a estética do sorriso.

Em muitos casos, a microabrasão elimina a camada mais externa do esmalte afetado, reduzindo a visibilidade das manchas, enquanto o clareamento age em profundidade, uniformizando a tonalidade remanescente.

Para otimizar os resultados, é essencial que o profissional avalie criteriosamente a espessura do esmalte e a severidade das alterações antes de indicar a abordagem combinada.

Ademais, a remineralização pós-tratamento com flúor é fundamental para manter a integridade estrutural do esmalte, minimizando possíveis sensibilidades e preservando a saúde bucal do paciente.

aplicando produto de microabrasão dental em manchas no dente do paciente
A microabrasão pode ser associada ao clareamento dental para potencializar o resultado estético e uniformizar a coloração dos dentes. (Reprodução/Research Gate)

Quais são os benefícios do procedimento?

A associação entre microabrasão e clareamento dental é uma estratégia amplamente utilizada na odontologia estética para maximizar os resultados e proporcionar um sorriso uniforme e natural.

Enquanto a microabrasão atua removendo irregularidades e pigmentações superficiais do esmalte por meio da abrasão química e mecânica controlada, o clareamento dental complementa o procedimento, clareando a estrutura dental como um todo.

Essa sinergia é especialmente benéfica para pacientes com fluorose dental moderada, nos quais há opacidades esbranquiçadas ou amarronzadas que comprometem a estética do sorriso.

Em muitos casos, a microabrasão elimina a camada mais externa do esmalte afetado, reduzindo a visibilidade das manchas, enquanto o clareamento age em profundidade, uniformizando a tonalidade remanescente.

Para otimizar os resultados, é essencial que o profissional avalie criteriosamente a espessura do esmalte e a severidade das alterações antes de indicar a abordagem combinada.

Além disso, a remineralização pós-tratamento com flúor é fundamental para manter a integridade estrutural do esmalte, minimizando possíveis sensibilidades e preservando a saúde bucal do paciente.

antes e depois de procedimento microabrasão dental
A microabrasão proporciona resultados rápidos, melhora a estética do sorriso e preserva a estrutura dental quando realizada corretamente.

Microabrasão do esmalte é prejudicial?

Quando realizada de maneira controlada e com a indicação adequada, a microabrasão do esmalte é um procedimento seguro e eficaz.

A perda estrutural do esmalte é mínima, geralmente limitada a algumas micras, e a integridade dental pode ser preservada por meio da remineralização pós-procedimento.

Para isso, utiliza-se a aplicação tópica de flúor ou agentes dessensibilizantes à base de cálcio e fosfato, garantindo proteção adicional à estrutura dental. 

aplicando produto de clareamento nos dentes
Quando feita por um profissional qualificado e com os materiais corretos, a microabrasão é segura e não compromete a saúde dental.

A microabrasão causa dor?

O procedimento é, na maioria dos casos, indolor, pois se restringe à camada superficial do esmalte sem comprometer a dentina.

Entretanto, alguns pacientes com hipersensibilidade prévia podem relatar leve desconforto transitório, que pode ser minimizado com a aplicação de agentes dessensibilizantes antes e após a técnica.

Paciente usando afastador odontológico enquanto produto de microabasão age no esmalte do dente
O procedimento é geralmente indolor, mas pode haver leve sensibilidade durante ou após a aplicação. (Reprodução/PowerDirector)

Quanto tempo dura um procedimento de microabrasão de esmalte?

O tempo médio da sessão varia entre 30 a 60 minutos, dependendo da severidade das manchas e da resposta do esmalte à técnica.

Em alguns casos, podem ser necessárias mais de uma sessão para alcançar um resultado estético satisfatório. 

usando jato de água nos dentes
Em geral, consegue ser concluído em uma única sessão. (Reprodução/Shutterstock)

Quais cuidados tomar após o procedimento?

✅ Evitar alimentos e bebidas altamente pigmentadas (como café, vinho tinto, refrigerantes e molhos à base de tomate) por pelo menos 24 a 48 horas, pois o esmalte pode estar mais suscetível à absorção de pigmentos. 

✅ Utilizar creme dental fluoretado diariamente para auxiliar na remineralização do esmalte tratado e aumentar sua resistência contra novas manchas. 

✅ Agendar revisões odontológicas periódicas para monitoramento dos resultados, garantindo que a integridade do esmalte seja mantida e avaliando a necessidade de reforço na remineralização ou de ajustes estéticos adicionais.

dentista realizando atendimento em paciente
Após a microabrasão dental, é essencial evitar alimentos e bebidas pigmentados nas primeiras horas e manter uma boa higiene bucal. (Reprodução/Pexels)

Conclusão

A microabrasão dental é uma excelente alternativa para melhorar a estética dental de forma conservadora e eficaz.

Com resultados imediatos e segurança comprovada, essa técnica é uma opção essencial no arsenal clínico do profissional da odontologia.

Se você deseja aprimorar seus conhecimentos em procedimentos estéticos minimamente invasivos, a EAP-Goiás oferece cursos especializados para dentistas que buscam se destacar no mercado.

Acesse nosso site e conheça nossas formações voltadas à odontologia estética e às mais recentes inovações da área.

Invista na sua carreira e proporcione sorrisos mais saudáveis e bonitos aos seus pacientes!

Referências:

https://blog.suryadental.com.br/microabrasao-associada-ao-clareamento-dental

https://www.colgate.com.br/oral-health/teeth-whitening/what-is-enamel-microabrasion

https://luisgustavoleite.com.br/blog/microabrasao-dental/

http://revodonto.bvsalud.org/scielo.php?script=sci_arttext&pid=S1981-86372013000500001

https://blog.segurosunimed.com.br/microabrasao-dental/

https://conexao.odontoprev.com.br/microabrasao-de-clinico-para-clinico-direto-ao-ponto/

https://www.foa.unesp.br/Home/ensino/departamentos/odontologiainfantilesocial/capitulo-de-microabrasao-do-esmalte-dental.pdf

*O texto acima não foi escrito por cirurgião dentista, portanto a EAP não se responsabiliza pelas informações, uma vez que não possuem caráter científico.

Receba novidades
por e-mail

Solicite contato

Deixe seu nome e telefone no formulário abaixo, em breve receberá uma ligação de nossa equipe.