A prática odontológica exige uma constante atualização técnica e científica para que os profissionais possam oferecer diagnósticos precisos, tratamentos eficazes e planos reabilitadores com resultados previsíveis.
Quando falamos em próteses parciais removíveis (PPRs), um dos primeiros passos para o planejamento correto é compreender a classificação da arcada dentária edêntula.
Neste contexto, a Classificação de Kennedy se apresenta como uma ferramenta essencial, amplamente adotada em todo o mundo.
Neste artigo, vamos abordar de forma detalhada essa classificação, discutindo suas categorias principais, modificações, aplicações clínicas e os benefícios que ela proporciona tanto para o cirurgião-dentista quanto para o paciente.

O que é a classificação de Kennedy?
Criada por Edward Kennedy em 1925, a Classificação de Kennedy tem como principal função categorizar os diferentes tipos de arcadas parcialmente edêntulas, considerando a posição e o número de espaços protéticos em relação aos dentes remanescentes.
Essa sistematização não apenas promove uma linguagem clínica uniforme entre os profissionais da odontologia, como também contribui significativamente para o diagnóstico e planejamento reabilitador com próteses parciais removíveis (PPRs).
Por meio dessa classificação, é possível determinar previamente o tipo de suporte necessário, a biomecânica envolvida e a complexidade do caso.
A categorização também auxilia no desenho da estrutura metálica da prótese, na escolha dos componentes retentivos e no posicionamento estratégico dos apoios e conectores, influenciando diretamente a estabilidade e a longevidade da reabilitação protética.
A classificação original de Kennedy contempla quatro classes principais, que abrangem a maioria das situações clínicas encontradas na prática odontológica.
No entanto, quando há mais de uma área edêntula na arcada, é possível aplicar modificações às classes originais, sempre levando em consideração a mais posterior delas como referência principal.
A seguir, detalhamos cada uma dessas classes:
Classe I
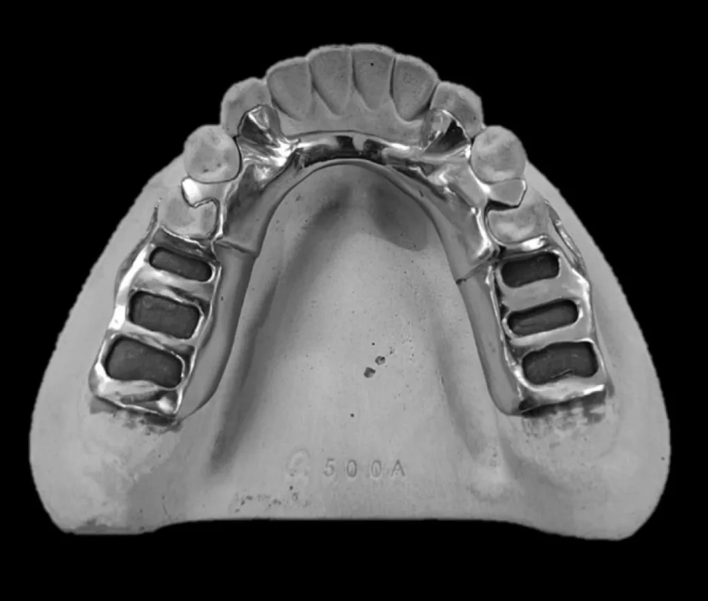
A Classe I refere-se às arcadas que apresentam áreas edêntulas bilaterais localizadas posteriormente aos dentes remanescentes.
Esse tipo de configuração é bastante comum em pacientes edêntulos parciais com ausência de molares e pré-molares em ambos os lados da arcada, mantendo-se apenas os dentes anteriores.
Como se trata de uma situação de extremidade livre, o suporte da prótese recai parcialmente sobre a mucosa, exigindo cuidados especiais no planejamento, como a escolha de apoios bem posicionados e grampos eficazes para compensar os movimentos da base protética durante a função mastigatória.
Classe II
A Classe II é caracterizada por uma área edêntula unilateral situada posteriormente aos dentes remanescentes.
Em outras palavras, há ausência de dentes em um dos lados da arcada, com a presença de dentes posteriores apenas no lado oposto.
Assim como na Classe I, trata-se de uma extremidade livre, porém unilateral.
Isso implica em desafios similares, como a necessidade de controle de rotação da base e de distribuição das forças oclusais, especialmente quando há disparidade entre o número e a posição dos dentes remanescentes.
Classe III
Na Classe III, a área edêntula está localizada entre dentes adjacentes anteriores e posteriores no mesmo lado da arcada.
Neste caso, não se trata de uma extremidade livre, pois há suporte dentário em ambos os limites da área desdentada.
Esse tipo de configuração proporciona maior estabilidade à prótese, pois permite a distribuição das forças diretamente sobre os dentes pilares.
É, portanto, a classe mais favorável biomecanicamente, com menor tendência à movimentação da base protética e maior facilidade no controle da retenção e estabilidade.
Classe IV
A Classe IV representa uma área edêntula anterior única que cruza a linha média, localizada entre dentes remanescentes posteriores de ambos os lados.
Essa configuração, por ser central, impõe desafios estéticos consideráveis, exigindo atenção ao desenho da prótese, à seleção de dentes artificiais e à adaptação da base acrílica.
Devido à sua posição, essa classe é sempre única, ou seja, não pode ser combinada com outras áreas edêntulas para formar modificações.

Modificações de Applegate à Classificação de Kennedy
Em 1960, o Dr. Oliver C. Applegate revisou a classificação de Kennedy e propôs uma série de modificações com o objetivo de aumentar sua aplicabilidade clínica.
Ele estabeleceu oito regras fundamentais para interpretação da classificação e introduziu dois novos subtipos – as Classes V e VI –, que abrangem situações específicas que não se encaixam completamente nas classes originais.
Essas modificações foram fundamentais para adaptar a classificação à complexidade crescente dos casos clínicos e ao avanço das possibilidades reabilitadoras, permitindo maior precisão no diagnóstico protético.
Classe V
A Classe V de Applegate corresponde a uma área edêntula delimitada anteriormente e posteriormente por dentes remanescentes, similar à Classe III, porém com uma condição adicional: os dentes adjacentes não oferecem suporte adequado para a prótese.
Essa limitação pode decorrer de fatores como comprometimento periodontal severo, mobilidade dentária ou destruição coronária extensa.
Nessas situações, a previsibilidade e a funcionalidade da prótese removível ficam comprometidas, exigindo reforço estrutural e estratégias específicas de retenção para minimizar riscos e desconfortos ao paciente.
Classe VI
Já a Classe VI se refere a uma área edêntula também situada entre dentes remanescentes anteriores e posteriores, porém esses dentes estão em condições clínicas ideais, oferecendo excelente suporte periodontal, estabilidade e retenção.
Essa configuração é particularmente favorável para tratamentos reabilitadores com próteses fixas ou removíveis com grande eficiência funcional.
Na prática, a Classe VI muitas vezes indica a viabilidade de alternativas mais conservadoras, como a prótese fixa adesiva, ou mesmo implantes dentários, quando o caso permitir.

Por que saber essa classificação?
Entender a Classificação de Kennedy não se trata somente de um conhecimento teórico, mas sim de um recurso essencial na prática clínica.
Sua aplicação impacta diretamente em diversas etapas do atendimento protético.
Facilidade no diagnóstico
A utilização da classificação permite organizar o caso clínico de forma objetiva, com base em critérios reconhecidos internacionalmente.
Isso favorece a comunicação entre dentistas, técnicos em prótese dental e docentes, agilizando o entendimento do quadro clínico.

Escolha da prótese dentária
Cada classe impõe exigências biomecânicas distintas, influenciando na escolha dos componentes da PPR, como conectores maiores, grampos e apoios oclusais.
Uma Classe I, por exemplo, requer dispositivos que compensem a mobilidade da mucosa na região posterior.
Distribuição de carga e forças
A classificação possibilita antever como a carga mastigatória será distribuída sobre dentes e mucosa, permitindo que o desenho da prótese minimize tensões excessivas e preserve os tecidos de suporte.

Melhor planejamento
Ao definir corretamente a classe, o dentista tem condições de estabelecer um plano de tratamento mais eficiente, escolhendo os melhores pontos de apoio, além de facilitar a sequência clínica e laboratorial.
Previsão de complicações
Conhecer as características de cada classe permite antecipar possíveis dificuldades funcionais ou estéticas, como instabilidade da prótese ou complicações periodontais, e elaborar estratégias para preveni-las.

Quais os benefícios ao paciente?
O uso da Classificação de Kennedy contribui diretamente para a excelência clínica e, consequentemente, para a satisfação do paciente. Com um planejamento mais seguro, a prótese torna-se mais estável, funcional e duradoura.
Isso se traduz em melhora na mastigação, na fala e na autoestima, além de facilitar ajustes futuros e manutenção preventiva.
Ademais, o paciente percebe maior segurança durante o atendimento, o que fortalece o vínculo com o profissional e melhora a adesão ao tratamento.

Conclusão
Como vimos, a Classificação de Kennedy é uma ferramenta essencial para o planejamento protético eficaz, oferecendo padronização, previsibilidade e segurança ao tratamento reabilitador.
Dominar essa classificação é um diferencial que melhora a qualidade clínica e fortalece a relação profissional-paciente.
Se você deseja aprofundar seu conhecimento em prótese dentária, biomecânica aplicada ou outras áreas da odontologia, a EAP-Goiás é a escolha certa.
Com excelência no ensino e na formação profissional, a EAP oferece cursos de especialização de alto padrão, com corpo docente qualificado e estrutura de ponta.
Acesse o site da EAP-Goiás e descubra como transformar sua carreira com os melhores cursos de especialização em odontologia.
Invista no seu futuro com quem entende de formação profissional!
Referências:
https://blog.suryadental.com.br/classificacao-de-kennedy
https://academically.com/blogs/understanding-kennedys-classification-in-dentistry
https://blog.dentalcremer.com.br/classificacao-de-kennedy
https://www.codental.com.br/blog/classificacao-de-kennedy-e-suas-modificacoes-um-guia-completo/
*O texto acima não foi escrito por cirurgião dentista, portanto a EAP não se responsabiliza pelas informações, uma vez que não possuem caráter científico.