Você sabia que a saúde bucal está diretamente ligada à saúde geral do corpo? Isso ocorre porque um dos fatores que podem influenciar, significativamente, no desenvolvimento de problemas bucais é a imunidade do organismo.
Quando o sistema imunológico está enfraquecido, o corpo se torna mais suscetível a doenças, incluindo aquelas que afetam diretamente a cavidade oral.
De modo geral, a baixa imunidade compromete a capacidade do corpo de combater bactérias, vírus e outros microrganismos que podem causar infecções bucais, o que pode resultar em condições como aftas, gengivite, periodontite e até alterações na textura e cor da língua.
Nesse sentido, entender a relação entre baixa imunidade e saúde bucal é essencial tanto para prevenir problemas bucais quanto para manter uma qualidade de vida elevada.
Este artigo esclarecerá as principais causas de baixa imunidade, os sinais de alerta e como isso pode impactar a saúde bucal.
Também trazemos dicas valiosas para prevenir essas complicações. Boa leitura!

Sumário
- O que é baixa imunidade e quais as suas causas?
- Como saber se está com a imunidade baixa?
- Quais doenças bucais podem surgir devido à baixa imunidade?
- Como prevenir esses problemas de baixa imunidade e saúde bucal?
O que é baixa imunidade e quais as suas causas?
A imunidade é o sistema de defesa natural do corpo contra agentes invasores, como vírus, bactérias e fungos.
Quando o sistema imunológico está comprometido, o corpo fica mais vulnerável às infecções e doenças.
Algumas das principais causas de baixa imunidade incluem:
- Alimentação inadequada: a falta de nutrientes essenciais, como vitaminas A, C, D, E e minerais como zinco e ferro, compromete a produção de células de defesa.
- Estresse crônico: altos níveis de estresse aumentam a produção de cortisol, hormônio que pode enfraquecer o sistema imunológico.
- Falta de sono: dormir pouco ou mal reduz a capacidade do organismo de produzir células imunológicas.
- Doenças autoimunes: condições como lúpus e diabetes tipo 1 podem afetar negativamente a imunidade.
- Uso excessivo de medicamentos: o consumo prolongado de antibióticos e corticosteroides pode enfraquecer as defesas do corpo.

Como saber se está com a imunidade baixa?
Os sinais de baixa imunidade podem variar de pessoa para pessoa, mas alguns são mais comuns e devem ser observados com atenção:
- Infecções recorrentes: gripes, resfriados e infecções de ouvido ou garganta frequentes podem ser um indicativo.
- Cansaço excessivo: sentir-se constantemente cansado, mesmo após noites de sono completas.
- Demora na cicatrização: cortes ou feridas que demoram mais tempo para cicatrizar.
- Problemas de pele: aparecimento de erupções, coceiras ou infecções cutâneas frequentes.
- Problemas bucais: aftas, gengivas inflamadas ou infecções frequentes na boca também podem ser sinais de alerta.
É importante observar que, se esses sintomas forem frequentes, o recomendado é buscar orientação médica para identificar a causa e buscar soluções adequadas.

Quais doenças bucais podem surgir devido à baixa imunidade?
Quando a imunidade está baixa, a boca pode se tornar um ambiente propício para o desenvolvimento de diversas condições bucais. Confira as principais:
Aftas
As aftas são pequenas úlceras dolorosas que aparecem na mucosa bucal. Elas podem ser desencadeadas por estresse, traumas locais ou alterações no sistema imunológico.
A baixa imunidade aumenta a frequência e a gravidade dessas lesões.

Herpes labial
O vírus herpes simplex (HSV-1) pode ser reativado em momentos de baixa imunidade, causando lesões dolorosas nos lábios.
Esse vírus permanece no organismo de forma latente e se manifesta quando as defesas do corpo estão enfraquecidas.
Estomatite aftosa
A estomatite aftosa é caracterizada pelo aparecimento de múltiplas aftas na boca.
Essa condição pode ser muito dolorosa e é frequentemente associada a deficiências nutricionais e baixa imunidade.

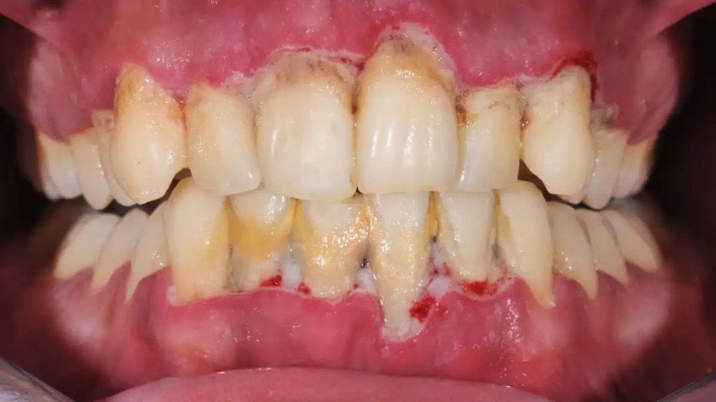
Gengivite
A gengivite é uma inflamação das gengivas causada pelo acúmulo de placa bacteriana.
Quando a imunidade está baixa, o organismo tem dificuldade em combater as bactérias presentes na boca, aumentando o risco de inflamação.
Periodontite
Se não tratada, a gengivite pode evoluir para periodontite, uma infecção mais grave que afeta os tecidos de suporte dos dentes.
A baixa imunidade facilita a progressão da doença, podendo levar à perda dentária.

Alterações na cor ou textura da língua
A baixa imunidade também pode causar mudanças na língua, como o aparecimento de manchas brancas (candidíase oral), língua geográfica ou alterações na textura, deixando-a com um aspecto mais “peludo”.
Como prevenir esses problemas de baixa imunidade e saúde bucal?
Prevenir problemas de saúde bucal associados à baixa imunidade exige uma combinação de hábitos saudáveis. Aqui estão algumas dicas essenciais:
Alimentos que ajudam a aumentar a imunidade
Uma dieta balanceada é fundamental para fortalecer o sistema imunológico.
Alimentos ricos em vitaminas e minerais, como frutas cítricas (laranja, limão), vegetais verdes escuros (brócolis, espinafre) e fontes de zinco (castanhas, carnes magras), ajudam a manter as defesas do corpo em dia.

Beba água regularmente
A hidratação é essencial para a saúde geral e bucal.
Beber água ajuda a manter a produção de saliva, que é um mecanismo natural de defesa contra bactérias e outros microrganismos na boca.
Pratique exercícios físicos
A atividade física regular melhora a circulação sanguínea, ajudando na distribuição de células imunológicas pelo corpo.
Pratique, ao menos, 150 minutos de atividade moderada por semana para fortalecer a imunidade.

Cuide do seu sono
Dormir bem é essencial para a regeneração do organismo e a produção de células de defesa.
Busque dormir entre 7 e 9 horas por noite para manter o corpo descansado e preparado para combater infecções.
Conforme demonstramos neste artigo, a relação entre baixa imunidade e saúde bucal é evidente.
Desse modo, um sistema imunológico enfraquecido pode abrir caminho para diversas doenças bucais, como aftas, gengivite e herpes labial.
Por isso, adotar hábitos saudáveis é imprescindível para prevenir esses problemas e manter uma saúde bucal equilibrada.
Para quem busca se especializar em odontologia e estar à frente das últimas tendências do mercado, a EAP Goiás é a melhor opção.
Ao oferecer formação de excelência, a instituição conta com profissionais experientes e altamente capacitados para lhe ajudar a enfrentar os desafios do setor e promover uma saúde bucal de qualidade em seus pacientes.
Invista em sua carreira com quem entende do assunto!
Referências:
https://blog.odontocompany.com/entenda-a-relacao-entre-baixa-imunidade-e-saude-bucal
https://bbdental.com.br/baixa-imunidade-saude-bucal
https://sorridents.com.br/blog/baixa-imunidade/
https://uniodontominas.com.br/baixa-imunidade-e-saude-bucal
https://www.benegrip.com.br/saude/sintomas-gripe/
*O texto acima não foi escrito por cirurgião dentista, portanto a EAP não se responsabiliza pelas informações, uma vez que não possuem caráter científico.