Nós, como profissionais de saúde, devemos ser exemplos neste sentido, educando nossos pacientes sobre o mal que o cigarro faz, não só para a saúde bucal, mas para todo nosso corpo e convívio social. Portanto, venha entender melhor como fazer sua parte contra o tabagismo.
Junho é conhecido como o mês de combate ao fumo e no início do mês foi apresentado pelo Instituto Nacional do Câncer (INCA) um estudo comprovando que o mercado do tabaco não é lucrativo para o Brasil. Enquanto o país gasta mais de R$ 57 bilhões por ano com despesas médicas e perda de produtividade provocadas pelo tabagismo, apenas R$ 13 bilhões são arrecadados com impostos. Esse dado é de extrema importância para o país, já que ele desmistifica um dos principais argumentos da indústria do tabaco, que ela é lucrativa para o país.
Esse dado é importante para entendermos que o tabagismo ainda é muito forte no Brasil e que é trabalho de cada um conscientizar sobre os malefícios dele. Continue lendo o texto para se aprofundar em quais ações em combate ao tabagismo você pode tomar.

Dados sobre tabagismo no Brasil
O comparativo entre arrecadação e gastos do tabagismo no Brasil foi o principal dado apontado por esta pesquisa do Inca, que pode ser lida na íntegra aqui: “Carga de doença atribuível ao uso do tabaco no Brasil e potencial impacto do aumento de preços por meio de impostos”.
Além desta pesquisa, nos mesmos dias foram apresentados outros números importantes, que também devem ser avaliados. Segundo a pesquisa Vigilância sobre Fatores de Risco e Proteção para Doenças Crônicas por Inquérito Telefônico (Vigitel), é mais comum dentre os homens existirem fumantes (12,7%), do que dentre as mulheres (8%).
A maior faixa etária de fumantes está entre os adultos de 55 a 64 anos (13,5%), a pesquisa avaliou pessoas em todas as capitais brasileiras e Distrito Federal e constatou que Curitiba tem a maior prevalência de fumantes, com 14%, seguida de Porto Alegre (13,6%) e São Paulo (13,2%).
A pesquisa Vigitel comparou dados de 2006 a 2016 e concluiu que foi reduzido em 35% a prevalência de fumantes nestes 10 anos. Essa redução só foi possível a partir de campanhas de conscientização sobre o mal que o tabagismo faz e também pelo aumento na tributação do cigarro, que ocorreu em 2011.
Vale destacar que, segundo dados do Instituto Nacional de Câncer (INCA) em 2024, o tabagismo é responsável por cerca de 145 mil mortes por ano no país, sendo considerado a principal causa de morte evitável no Brasil. Doenças cardiovasculares, diversos tipos de câncer e problemas respiratórios crônicos estão diretamente relacionados ao consumo de tabaco. No âmbito da saúde bucal, os impactos são igualmente devastadores, afetando desde a estética até a funcionalidade da boca.

Qual o impacto do tabagismo na saúde bucal?
Os efeitos do tabagismo na cavidade oral são extensos e graves. O dentista que atende fumantes regularmente observa uma série de complicações que vão muito além do hálito desagradável e dos dentes manchados. Compreender esses impactos é essencial para desenvolver ações contra o tabagismo eficazes no consultório.
Entre as principais consequências do fumo para a saúde bucal estão:
Doença periodontal
O tabagismo é um dos principais fatores de risco para gengivite e periodontite. As substâncias químicas presentes no cigarro comprometem o sistema imunológico, reduzem o fluxo sanguíneo nas gengivas e dificultam a cicatrização dos tecidos periodontais. Fumantes têm até três vezes mais chances de desenvolver doença periodontal grave comparados a não fumantes.

Câncer bucal
O cigarro é responsável por cerca de 90% dos casos de câncer de boca, língua, faringe e laringe. A combinação de fumo e álcool potencializa ainda mais esse risco. O diagnóstico precoce dessas lesões é fundamental para o prognóstico do paciente, e o dentista tem papel crucial nessa detecção.
Problemas estéticos
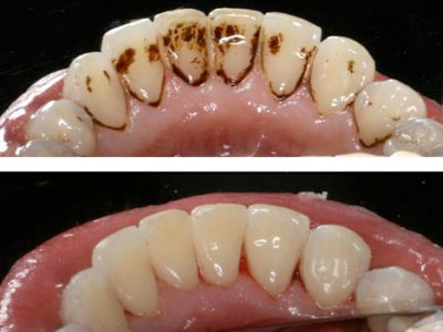
Manchas nos dentes, alteração da cor das restaurações, mau hálito persistente e envelhecimento precoce da pele ao redor da boca são problemas comuns entre fumantes. Esses aspectos, embora pareçam superficiais, frequentemente motivam pacientes a buscarem ajuda para parar de fumar.

Comprometimento de tratamentos odontológicos
Fumantes apresentam menor taxa de sucesso em implantes dentários, cicatrização mais lenta após cirurgias, maior risco de complicações pós-operatórias e resposta reduzida aos tratamentos periodontais. Isso torna fundamental que o dentista aborde o tabagismo antes de iniciar procedimentos complexos.
Outras alterações
Redução do paladar e olfato, leucoplasia (manchas brancas na mucosa), candidíase oral recorrente e maior acúmulo de tártaro também são observados com frequência em pacientes tabagistas.

Como o dentista pode fazer seu papel contra o tabagismo?
O Dia Nacional de Combate ao Tabagismo, celebrado em 29 de agosto, e o Dia Mundial de Combate ao Tabagismo, em 31 de maio, são datas importantes para intensificar as ações de combate ao tabagismo e conscientizar a população sobre os malefícios do cigarro. Essas campanhas têm como objetivo não apenas informar sobre os riscos à saúde, mas também divulgar os recursos disponíveis para quem deseja parar de fumar.
O consultório odontológico deve ser um espaço ativo no combate ao fumo, e existem diversas estratégias que o dentista pode adotar para contribuir efetivamente com essa causa:
- Incluir o tema na anamnese: Durante a consulta inicial e nas avaliações periódicas, questione seus pacientes sobre o hábito de fumar. Registre a quantidade de cigarros consumidos por dia, há quanto tempo a pessoa fuma e se já tentou parar anteriormente. Essas informações são valiosas para personalizar a abordagem.
- Realizar o aconselhamento breve: Não é necessário ser especialista em cessação do tabagismo para orientar seus pacientes. O aconselhamento breve, que dura cerca de 3 a 5 minutos, pode aumentar em até 40% as chances de um fumante parar de fumar. Informe sobre os riscos específicos para a saúde bucal, mostre evidências clínicas (fotografias de lesões, radiografias com perda óssea) e ofereça apoio.
- Divulgar os recursos disponíveis: Muitos fumantes desconhecem que o Sistema Único de Saúde (SUS) oferece tratamentos integrais e gratuitos às pessoas que desejam parar de fumar por meio de medicamentos como adesivos, pastilhas, gomas de mascar (terapia de reposição de nicotina) e bupropiona, além do acompanhamento médico necessário para cada caso. Mantenha folders informativos no consultório e oriente seus pacientes sobre como acessar o programa de combate ao tabagismo SUS em sua região.
- Participar de campanhas: Engaje-se nas campanhas de combate ao tabagismo promovidas pelos conselhos de odontologia, secretarias de saúde e outras entidades. Utilize suas redes sociais e canais de comunicação para disseminar informações durante o Dia Mundial de Combate ao Tabagismo e o Dia Nacional de Combate ao Tabagismo.
- Estabelecer parcerias: Crie uma rede de referência com médicos, psicólogos e programas especializados em cessação do tabagismo. Dessa forma, você poderá encaminhar pacientes que necessitem de acompanhamento mais intensivo, garantindo um cuidado integral.
- Capacitar-se: Busque cursos, workshops e materiais educativos sobre abordagem do tabagismo. Quanto mais preparado você estiver, mais confiante e eficaz será sua atuação nessa área.
- Celebrar conquistas dos pacientes: Acompanhe o progresso dos pacientes que estão tentando parar de fumar. Celebre as vitórias, por menores que sejam, e ofereça suporte nos momentos de dificuldade. Seu apoio pode fazer toda a diferença no sucesso do tratamento.

Conclui-se ser de extrema importância o papel do dentista contra o tabagismo! Seus pacientes e a sociedade como um todo agradecem por esse compromisso com a vida e a saúde.
*O texto acima não foi escrito por cirurgião dentista, portanto a EAP não se responsabiliza pelas informações, uma vez que não possuem caráter científico.