A Expansão Rápida da Maxila (ERM) é um dos procedimentos mais estudados e, ao mesmo tempo, mais discutidos da ortodontia moderna.
Embora faça parte da rotina clínica de muitos profissionais, ainda desperta questionamentos relevantes: quando indicar, como executar corretamente, quais limites respeitar e quais impactos reais esperar no curto e no longo prazo.
Em um contexto clínico cada vez mais orientado por evidências, dominar essas respostas deixou de ser opcional.
Além da correção clássica da atresia maxilar e da mordida cruzada posterior, a ERM passou a ocupar um papel estratégico em planejamentos mais amplos, envolvendo crescimento craniofacial, função respiratória, estabilidade oclusal e até a previsibilidade de tratamentos ortodônticos complexos em adolescentes e adultos.
Por isso, compreender exatamente como é feita a expansão rápida da maxila, desde sua biomecânica até suas fases clínicas, é indispensável para decisões terapêuticas mais seguras.
Este artigo foi desenvolvido para conversar diretamente com cirurgiões-dentistas e especialistas em ortodontia e ortopedia funcional, oferecendo uma abordagem técnica, atualizada e aplicada à prática clínica.
Ao longo da leitura, você encontrará conceitos-chave, protocolos clínicos, critérios de indicação e respostas objetivas às principais dúvidas sobre o procedimento, favorecendo uma visão crítica e fundamentada da ERM.

O que é expansão maxilar rápida?
A Expansão Rápida da Maxila é um procedimento ortopédico-ortodôntico destinado a corrigir a deficiência transversal da maxila por meio da abertura controlada da sutura palatina mediana.
Diferentemente das expansões dentoalveolares lentas, a ERM promove uma separação esquelética real, desde que realizada em condições biológicas favoráveis.
Do ponto de vista biomecânico, o princípio da ERM baseia-se na aplicação de forças ortopédicas de alta magnitude e curta duração, capazes de superar a resistência sutural.
Essa força é transmitida por dispositivos expansores fixos, ancorados aos dentes e, em alguns casos, ao palato ou a mini-implantes, promovendo a disjunção da sutura palatina.
O resultado esperado é o aumento da largura transversal do arco superior, acompanhado de alterações secundárias nas estruturas adjacentes, como cavidade nasal, assoalho nasal e arcabouço facial médio.
Por esse motivo, a ERM não deve ser compreendida apenas como um recurso mecânico, mas como uma intervenção com repercussões estruturais e funcionais.

Quem se beneficia desse procedimento?
A indicação da Expansão Rápida da Maxila deve ser criteriosa e baseada em diagnóstico clínico e imaginológico detalhado.
De modo geral, beneficiam-se do procedimento pacientes que apresentam:
- Atresia maxilar transversal;
- Mordida cruzada posterior unilateral ou bilateral;
- Apinhamento dentário associado à deficiência transversal;
- Palato ogival com repercussões funcionais;
- Comprometimento respiratório associado à redução do espaço nasal;
- Assimetria funcional decorrente de desvio mandibular adaptativo.
Em pacientes em fase de crescimento, a ERM assume papel estratégico na interceptação de discrepâncias esqueléticas, reduzindo a complexidade de tratamentos futuros.
Em contrapartida, em indivíduos com maturação esquelética avançada, o procedimento exige adaptações técnicas e, muitas vezes, abordagem interdisciplinar.

Pode ser realizado em adolescentes e adultos?
Tradicionalmente, a Expansão Rápida da Maxila esteve associada ao tratamento de crianças e adolescentes, período em que a sutura palatina mediana apresenta menor grau de interdigitação e maior potencial de resposta ortopédica.
Nessa fase, a expansão tende a ocorrer com maior previsibilidade e menor efeito dentoalveolar indesejado.
Entretanto, os avanços na ortodontia ampliaram as possibilidades terapêuticas em pacientes adultos.
Atualmente, a ERM pode ser realizada em adultos por meio de duas principais abordagens:
- Expansão rápida assistida por mini-implantes (MARPE), que direciona as forças de expansão ao osso basal;
- Expansão rápida da maxila cirurgicamente assistida, indicada quando a resistência sutural inviabiliza a expansão ortopédica isolada.
A escolha da técnica deve considerar fatores como idade cronológica, maturação esquelética, espessura óssea palatina, padrão facial e objetivos do tratamento.
Dessa forma, a ERM deixou de ser exclusiva da ortodontia interceptiva e passou a integrar planejamentos mais complexos em adultos.

Como funciona a expansão maxilar rápida?
O sucesso da Expansão Rápida da Maxila depende do respeito a uma sequência clínica bem definida, que envolve planejamento, execução e acompanhamento rigoroso.
A seguir, são descritas as principais etapas do procedimento:
Instalação do aparelho
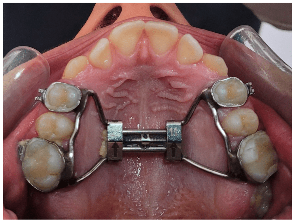
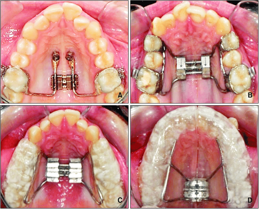
A primeira etapa clínica consiste na seleção e instalação do expansor maxilar.
Os dispositivos mais utilizados incluem expansores do tipo Hyrax, Haas e suas variações contemporâneas, além de aparelhos assistidos por mini-implantes.
A instalação deve garantir estabilidade, adaptação passiva inicial e correta distribuição das forças.
Uma instalação inadequada compromete tanto a eficiência da expansão quanto o conforto do paciente, além de aumentar o risco de efeitos colaterais.

Ativação do parafuso
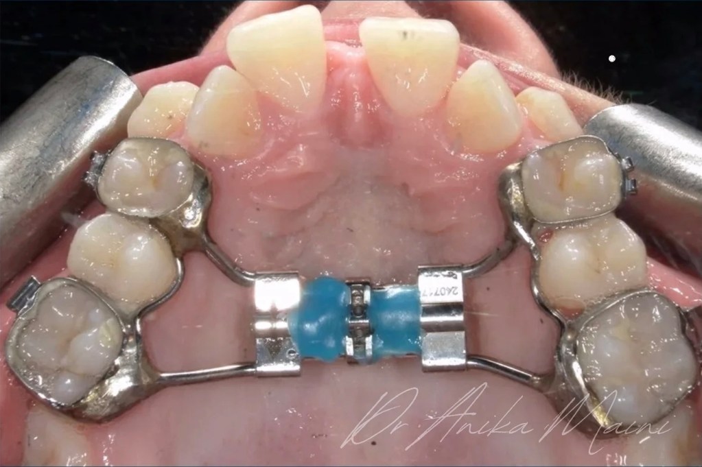
Após a instalação, inicia-se a fase de ativação do parafuso expansor.
O protocolo clássico envolve ativações diárias ou semi-diárias, conforme o planejamento individualizado.
Cada ativação promove um afastamento progressivo das hemi-maxilas.
Essa etapa exige orientação clara ao paciente ou responsável, especialmente quando as ativações são realizadas em ambiente domiciliar.
O controle clínico frequente é indispensável para monitorar a resposta tecidual e evitar sobrecarga.
Pressão do aparelho
Durante a fase ativa, o aparelho exerce pressão significativa sobre as estruturas ósseas e dentárias.
Essa pressão é responsável pela abertura da sutura palatina e pela resposta adaptativa do complexo maxilar.
Clinicamente, observa-se o surgimento de um diastema interincisal, considerado um sinal clássico de disjunção sutural efetiva.
A magnitude e a velocidade dessa abertura variam conforme a idade e a resistência biológica do paciente.

Regeneração
Concluída a fase ativa, inicia-se o período de regeneração óssea.
Nesse momento, o aparelho permanece em posição, sem novas ativações, permitindo a neoformação óssea no espaço criado pela expansão.
Essa fase é determinante para a estabilidade do tratamento.
A remoção precoce do expansor pode favorecer recidivas e comprometer os ganhos esqueléticos obtidos.
Manutenção
A manutenção envolve a contenção da expansão e o acompanhamento clínico e radiográfico.
O tempo de contenção varia conforme a idade e a resposta biológica, podendo se estender por alguns meses.
Posteriormente, o tratamento ortodôntico corretivo pode ser iniciado ou retomado, integrando a expansão ao planejamento global do caso.

Quais as vantagens de realizar a ERM?
Os benefícios da Expansão Rápida da Maxila vão além da correção transversal do arco superior.
Entre os principais ganhos clínicos, destacam-se:
- Melhora da relação oclusal posterior;
- Aumento do perímetro do arco superior;
- Redução de apinhamentos dentários;
- Otimização da função respiratória nasal;
- Estímulo ao desenvolvimento harmônico do terço médio da face;
- Potencial contribuição para a estabilidade ortodôntica a longo prazo.
Esses benefícios reforçam o papel da ERM como uma intervenção que impacta diretamente a função, a estética e a qualidade de vida do paciente.

Qual a duração do tratamento?
A duração da Expansão Rápida da Maxila varia conforme a técnica empregada e as características individuais do paciente.
Em média, a fase ativa de expansão ocorre em um período curto, geralmente entre duas e quatro semanas.
Já a fase de contenção pode se estender de três a seis meses, sendo fundamental para a consolidação óssea.
O tempo total de tratamento deve ser comunicado de forma clara ao paciente, alinhando expectativas e favorecendo a adesão.

O paciente sente dor?
A percepção de dor durante a ERM é variável. Muitos pacientes relatam sensação de pressão ou desconforto, especialmente nos primeiros dias de ativação.
Em geral, esses sintomas são transitórios e controláveis.
A comunicação adequada e o acompanhamento próximo contribuem para reduzir a ansiedade do paciente e garantir uma experiência clínica mais positiva.

Conclusão
A Expansão Rápida da Maxila permanece como um recurso terapêutico de alto impacto na ortodontia, com benefícios que ultrapassam a simples correção transversal do arco superior.
Quando corretamente indicada e executada, a ERM contribui para o equilíbrio funcional do sistema estomatognático, melhora a estabilidade oclusal e amplia as possibilidades de planejamento em diferentes faixas etárias.
Para o cirurgião-dentista que atua ou deseja atuar com Ortodontia e Cirurgia Oral Menor – CTBMF (Cirurgia e Traumatologia Bucomaxilofaciais), dominar a biomecânica, os protocolos de ativação e as variações técnicas da expansão maxilar não representa apenas atualização científica, mas um diferencial clínico concreto.
É nesse ponto que a formação continuada se torna decisiva.
A EAP-Goiás oferece cursos de especialização voltados à prática clínica baseada em evidências, com ênfase em Ortodontia,Cirurgia Oral Menor – CTBMF e áreas correlatas, preparando o profissional para decisões terapêuticas mais previsíveis e alinhadas às demandas atuais da odontologia.
Se você busca aprofundar seus conhecimentos, ampliar sua segurança clínica e evoluir profissionalmente, conhecer os cursos de especialização da EAP-Goiás é o próximo passo natural na sua trajetória.
Invista em formação sólida, atualizada e reconhecida!
A odontologia evolui, e o profissional que acompanha essa evolução se destaca.
https://ortodontiadescomplicada.com.br/o-que-e-expansao-rapida-da-maxila/
https://ortoeto.com.br/marpe-expansao-rapida-da-maxila/
*O texto acima não foi escrito por cirurgião dentista, portanto a EAP não se responsabiliza pelas informações, uma vez que não possuem caráter científico.