Na rotina odontológica, a radiografia continua sendo uma ferramenta insubstituível para o diagnóstico preciso e o planejamento terapêutico.
Embora a radiologia digital venha conquistando espaço, os filmes radiográficos convencionais ainda ocupam um papel de destaque, especialmente em consultórios que buscam praticidade, baixo custo inicial e boa qualidade de imagem.
Escolher o filme adequado, no entanto, exige atenção a detalhes técnicos que impactam diretamente na nitidez da imagem, na dose de radiação ao paciente e na confiabilidade do diagnóstico.
Este artigo foi elaborado para você, cirurgião-dentista ou estudante de odontologia, que busca compreender de forma aprofundada como selecionar corretamente os filmes radiográficos para diferentes situações clínicas.

Características do filme radiográfico na odontologia
O filme radiográfico é um dispositivo fotossensível composto por uma base de poliéster recoberta por emulsão de cristais de haleto de prata.
Essa composição permite que a radiação ionizante interaja com a película, formando uma imagem latente que se torna visível após o processamento químico.
Algumas características fundamentais devem ser consideradas:
- Sensibilidade e velocidade: classificada em grupos (D, E e F). Filmes do grupo F são mais sensíveis, demandam menor tempo de exposição e reduzem a dose de radiação recebida pelo paciente.
- Contraste e definição: estão relacionados à granulometria dos cristais. Filmes com grãos menores oferecem maior definição, mas exigem maior dose de radiação.
- Tamanho: varia conforme a indicação clínica, indo desde formatos reduzidos para odontopediatria até filmes maiores utilizados em exames oclusais e extraorais.
- Presença de envelope protetor: evita contaminação cruzada e protege contra a luz.
Compreender essas propriedades é essencial para que o cirurgião-dentista faça uma escolha consciente e segura.

O que é filme radiográfico intraoral?
Os filmes intraorais são posicionados dentro da cavidade bucal, próximos à estrutura de interesse.
São os mais utilizados na odontologia, pois oferecem imagens de alta resolução, essenciais para diagnósticos detalhados.
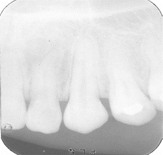
Filme Radiográfico Periapical
O filme periapical é indicado para avaliar dentes individualmente, incluindo coroa, raiz e tecidos periapicais.
Sua utilização é indispensável em casos de endodontia, periodontia e cirurgias apicais. Os tamanhos mais comuns são:
- Tamanho 0: indicado para odontopediatria.
- Tamanho 1: geralmente usado em incisivos.
- Tamanho 2: padrão para adultos, permitindo ampla visualização do dente e estruturas adjacentes.

Filme Radiográfico Oclusal
O filme oclusal é maior (tamanho 4) e cobre áreas mais amplas da arcada dentária.
É indicado para identificar dentes inclusos, avaliar fraturas, acompanhar lesões extensas e investigar alterações de desenvolvimento ósseo.
Também auxilia na localização de corpos estranhos na cavidade bucal.

O que é filme radiográfico extraoral?
Os filmes extraorais ficam fora da cavidade bucal e captam imagens maiores, permitindo análise global da estrutura maxilofacial.
Geralmente necessitam de ecrãs intensificadores para reduzir a dose de radiação e melhorar a qualidade da imagem.
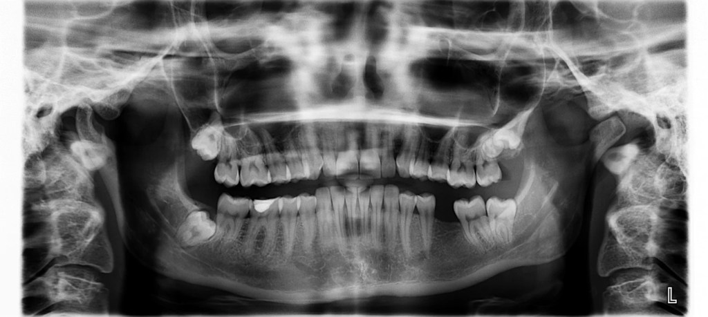
Filme Radiográfico Panorâmico
O filme panorâmico proporciona uma visão abrangente das arcadas dentárias, ossos maxilares e estruturas adjacentes.
É amplamente utilizado para avaliação inicial de pacientes, planejamento ortodôntico, identificação de terceiros molares inclusos e acompanhamento de fraturas mandibulares.

Filme Radiográfico Cefalométrico
O cefalométrico é essencial em ortodontia e na cirurgia ortognática, pois permite mensurações cefalométricas precisas para diagnóstico e planejamento.
Com ele, o ortodontista consegue avaliar a relação entre estruturas craniofaciais, arcadas dentárias e base do crânio.

Como é o processamento e armazenamento do filme radiográfico?
O processamento consiste em transformar a imagem latente em uma imagem visível e estável.
Para isso, utilizam-se soluções químicas específicas: revelador, fixador, lavagem e secagem.
O processo pode ser manual ou automatizado.
Já o armazenamento deve seguir rigorosamente condições adequadas:
- Temperatura entre 10°C e 20°C;
- Umidade relativa controlada entre 40% e 60%;
- Local protegido da luz e de fontes de radiação;
- Estoque organizado por validade, evitando o uso de filmes vencidos.
A negligência nesse aspecto pode resultar em imagens comprometidas e diagnósticos equivocados.

Quais cuidados os filmes radiográficos necessitam?
Os filmes radiográficos são extremamente sensíveis a fatores externos, como luz, calor, umidade e pressão.
Por isso, é essencial adotar medidas específicas de preservação que assegurem a qualidade da imagem final e a confiabilidade do diagnóstico.
Entre os principais cuidados, destacam-se:
- Armazenamento adequado: manter sempre em sua embalagem original até o momento do uso, em locais com temperatura e umidade controladas, evitando a degradação da emulsão de haleto de prata.
- Manipulação cuidadosa: evitar dobrar, pressionar ou riscar o filme, já que qualquer dano físico pode gerar artefatos e comprometer a interpretação radiográfica.
- Proteção radiológica: utilizar avental de chumbo e protetor de tireoide no paciente, reduzindo a dose de radiação dispersa de acordo com os princípios de radioproteção.
- Protocolos de biossegurança: seguir rigorosamente normas de higiene e esterilização durante o manuseio, prevenindo a contaminação cruzada, especialmente em filmes inseridos na cavidade oral.
- Controle do tempo de exposição: ajustar de forma precisa o tempo e a intensidade do feixe de raio-x conforme o tipo de filme e a potência do aparelho, evitando imagens subexpostas ou superexpostas.
A aplicação sistemática desses cuidados garante radiografias com maior nitidez, minimiza a necessidade de repetição de exames e contribui para a redução da exposição desnecessária à radiação ionizante.

Como resolver problemas dos filmes radiográficos?
Mesmo com técnica correta, erros podem ocorrer durante o processamento ou exposição.
Identificar a causa é fundamental para evitar diagnósticos comprometidos.
Imagem subexposta
Caracteriza-se por imagem pálida, pouco contrastada. Geralmente ocorre por tempo insuficiente de exposição, baixa intensidade do feixe de raio-x ou processamento inadequado.
A imagem subexposta pode ser resolvida com ajuste na dose de radiação, tempo de exposição adequado e verificação do processamento.

Superexposição da imagem
Nesse caso, a radiografia apresenta contraste excessivo e áreas muito escuras. Resulta de tempo prolongado de exposição ou ajustes inadequados no equipamento.
A superexposição da imagem pode ser corrigida ajustando a dose de radiação para níveis adequados e reduzindo o tempo de exposição.
Fixação em excesso
Leva ao clareamento exagerado da imagem e perda de detalhes anatômicos. Ocorre quando o filme permanece tempo prolongado no fixador.
A fixação em excesso pode ser corrigida controlando o tempo no fixador e realizando lavagem adequada, evitando perda de contraste na imagem.

Tempo de exposição
Deve ser ajustado conforme o tipo de filme e região anatômica. Exposições muito longas ou muito curtas comprometem a qualidade da imagem.
Ampola mal centralizada
Provoca distorções geométricas e áreas de sobreposição, dificultando a interpretação radiográfica. O correto posicionamento da ampola e do filme é essencial para evitar esse problema.
Conclusão
A escolha adequada dos filmes radiográficos é um passo estratégico para garantir diagnósticos mais confiáveis e segurança ao paciente.
Cada tipo de filme possui indicações específicas e exige do cirurgião-dentista conhecimento técnico para selecionar, processar e armazenar corretamente.
Investir em boas práticas no uso desse recurso é um diferencial para a rotina clínica, refletindo em precisão e eficiência no atendimento.
Se você deseja aprofundar seus conhecimentos em radiologia odontológica e em tantas outras áreas da odontologia, a EAP Goiás pode ser o próximo passo da sua jornada profissional.
A EAP Goiás promove formação de excelência, sempre valorizando a atualização científica e a prática humanizada.
Conheça os cursos de especialização oferecidos e dê um novo rumo à sua carreira com o respaldo de uma associação que é referência em qualidade e inovação.
Explore agora mesmo as opções de cursos da EAP-Goiás e descubra como transformar seu futuro na odontologia!
Referências:
https://blog.dentalcremer.com.br/como-escolher-filmes-radiograficos
https://www.kulzerblog.com.br/filmes-radiograficos-evite-erros-comuns
https://blog.odontoequipamentos.com.br/a-importancia-de-escolher-um-bom-filme-radiografico/
https://blog.suryadental.com.br/filme-radiografico-odontologico
https://brlaudos.com.br/escolher-filme-radiografico/
*O texto acima não foi escrito por cirurgião dentista, portanto a EAP não se responsabiliza pelas informações, uma vez que não possuem caráter científico.