A prática odontológica vai muito além do diagnóstico e tratamento de cáries, doenças periodontais ou distúrbios oclusais.
No consultório, o cirurgião-dentista é, muitas vezes, o primeiro profissional de saúde a identificar alterações que indicam doenças sistêmicas, algumas com impacto significativo na saúde pública. Entre essas condições, a sífilis se destaca.
Nos últimos anos, os casos de sífilis têm aumentado no Brasil, especialmente nas formas adquirida e congênita, segundo dados do Ministério da Saúde.
Embora seja conhecida como uma infecção sexualmente transmissível, nem sempre seus sinais aparecem exclusivamente na região genital.
Também pode se apresentar manifestações bucais da sífilis, de forma precoce, que passam despercebidas por pacientes e até mesmo por profissionais não familiarizados com suas características clínicas.
Reconhecer as lesões bucais relacionadas à sífilis, compreender sua evolução e adotar uma conduta adequada são competências essenciais para qualquer dentista que preze pela prática clínica de qualidade e pelo papel social da odontologia.
Ao longo deste artigo, vamos explorar as principais manifestações, o raciocínio diagnóstico, as formas de tratamento e as precauções necessárias para um atendimento seguro.

O que é a sífilis?
A sífilis é uma infecção sistêmica causada pela bactéria espiroqueta Treponema pallidum.
Sua transmissão ocorre, predominantemente, por via sexual, mas também pode acontecer verticalmente (da mãe para o feto, resultando na sífilis congênita) ou, raramente, por transfusão sanguínea.
O T. pallidum possui grande capacidade de penetração tecidual, podendo atravessar mucosas intactas ou microlesões na pele.
A infecção evolui em estágios distintos, alternando períodos sintomáticos e assintomáticos.
No contexto odontológico, a atenção deve estar voltada para as manifestações que acometem lábios, língua, palato, mucosa jugal e gengiva, que variam de acordo com o estágio da doença.
Essas lesões podem se confundir com patologias de origem infecciosa, inflamatória ou neoplásica, tornando o diagnóstico diferencial fundamental.

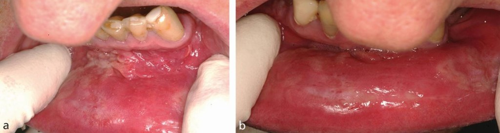
Sintomas: Quais manifestações bucais da sífilis?
As manifestações orais variam conforme a fase da infecção, mas alguns sinais merecem destaque:
- Úlceras únicas ou múltiplas, indolores, de bordas endurecidas.
- Placas esbranquiçadas ou acinzentadas na mucosa oral.
- Lesões eritematosas difusas, com ou sem descamação.
- Fissuras ou erosões persistentes nos lábios.
- Linfonodomegalia submandibular ou cervical.
- Em fases avançadas, gomas sifilíticas, destruição óssea e perfurações palatinas.
O dentista deve sempre considerar a anamnese detalhada, investigando o histórico sexual, presença de lesões em outras regiões do corpo e sintomas sistêmicos como febre baixa, mal-estar e erupções cutâneas.

Estágios da sífilis
A evolução clínica da sífilis se dá em quatro estágios.
Cada um apresenta padrões distintos de manifestação oral, o que reforça a importância de conhecer suas particularidades.
Sífilis primária
Caracteriza-se pelo aparecimento do cancro duro: uma úlcera única, de bordas endurecidas e fundo limpo, indolor, que surge no local de entrada da bactéria.
Na boca, é mais comum nos lábios, mas pode ocorrer na língua ou mucosa jugal.
Geralmente, há linfonodos aumentados e firmes na região submandibular.
Essa fase dura, em média, três a seis semanas e, mesmo sem tratamento, a lesão regride espontaneamente, o que dificulta a detecção se o paciente não procurar atendimento nesse período.
Sífilis secundária
Ocorre semanas ou meses após a cicatrização do cancro, quando a bactéria se dissemina pela corrente sanguínea.
Na cavidade oral, surgem placas mucosas — lesões esbranquiçadas ou acinzentadas, bem delimitadas, levemente elevadas e de superfície úmida.
Podem ser múltiplas e simétricas, acompanhadas de lesões cutâneas em tronco, palmas das mãos e plantas dos pés.
Nessa fase, a carga bacteriana é alta, aumentando o risco de transmissão.
Sífilis latente
Corresponde a um período assintomático, no qual não há manifestações clínicas evidentes, mas o paciente permanece infectado.
É subdividida em latente recente (até um ano de infecção) e latente tardia (mais de um ano).
Embora não haja sinais na boca, essa fase é importante para acompanhamento e prevenção da progressão para o estágio seguinte.
Sífilis terciária
Pode surgir anos após a infecção inicial, atingindo múltiplos órgãos e tecidos.
No âmbito odontológico, destacam-se as gomas sifilíticas, que são massas granulomatosas que causam necrose tecidual, destruição óssea e, em alguns casos, perfuração do palato duro.
Essas lesões são menos contagiosas, mas potencialmente mutilantes.

Como fazer o diagnóstico da sífilis oral?
O diagnóstico começa com uma anamnese minuciosa, incluindo histórico sexual, presença de outras ISTs, sintomas sistêmicos e tempo de evolução das lesões.
O exame clínico deve ser detalhado, registrando localização, aspecto, tamanho, número e sensibilidade das lesões.
É fundamental considerar o diagnóstico diferencial com câncer bucal, herpes simples, aftas recorrentes, tuberculose oral, candidíase e outras doenças vesículo-bolhosas.
A confirmação diagnóstica requer exames laboratoriais:
- Testes treponêmicos: detectam anticorpos específicos contra T. pallidum (ex.: FTA-ABS, TPHA).
- Testes não treponêmicos: medem anticorpos inespecíficos e auxiliam no acompanhamento da resposta ao tratamento (ex.: VDRL, RPR).

Como é feito o teste de sífilis?
No Brasil, o Ministério da Saúde recomenda o teste rápido de sífilis como triagem, disponível em muitas unidades de saúde.
É feito com uma pequena amostra de sangue, com resultado em cerca de 30 minutos.
Para confirmar o diagnóstico e monitorar o tratamento, utiliza-se o VDRL (Venereal Disease Research Laboratory), um teste não treponêmico quantitativo que permite acompanhar a queda dos títulos de anticorpos.
Em casos duvidosos, exames treponêmicos como o FTA-ABS são indicados.
No consultório odontológico, o dentista não realiza a testagem, mas pode encaminhar o paciente para serviços especializados e registrar a suspeita clínica no prontuário.

Tratamentos para sífilis na boca
O tratamento da sífilis oral segue o mesmo protocolo da sífilis sistêmica, com escolha baseada no estágio da infecção.
Tratamento padrão
A penicilina benzatina é o fármaco de escolha, administrada por via intramuscular.
- Sífilis primária, secundária e latente recente: dose única de 2,4 milhões de unidades.
- Sífilis latente tardia ou terciária: 2,4 milhões de unidades uma vez por semana, durante três semanas consecutivas.

Tratamento alternativo
Para pacientes alérgicos à penicilina, alternativas como doxiciclina ou azitromicina podem ser utilizadas, sempre sob prescrição e acompanhamento médico.
No caso da sífilis congênita, o manejo é específico e deve seguir protocolos pediátricos.
Quais cuidados ter durante o tratamento?
O acompanhamento clínico é essencial para avaliar a resposta terapêutica e prevenir recidivas. Recomenda-se:
- Evitar relações sexuais até a conclusão do tratamento e confirmação da cura sorológica.
- Orientar parceiros sexuais para testagem e tratamento.
- Manter acompanhamento com testes não treponêmicos (VDRL) em 3, 6 e 12 meses.
- Registrar a evolução clínica das lesões orais no prontuário odontológico.

Precauções para o dentista durante o atendimento
O risco de transmissão da sífilis no consultório é real, especialmente nas fases primária e secundária.
Por isso, o dentista deve:
- Utilizar EPIs completos: luvas, máscara, óculos de proteção e avental.
- Evitar contato direto com lesões ulceradas.
- Descartar adequadamente materiais contaminados.
- Reforçar medidas de biossegurança com toda a equipe.
Essas ações não apenas protegem o profissional, mas também garantem a segurança de outros pacientes.

Conclusão
Reconhecer as manifestações bucais da sífilis é um diferencial importante na prática odontológica.
O diagnóstico precoce contribui para o tratamento eficaz, evita complicações graves e ajuda a conter a disseminação da doença.
Na EAP-Goiás, entendemos que a atualização científica constante é essencial para que o cirurgião-dentista exerça seu papel com excelência.
Há mais de quatro décadas, oferecemos cursos de especialização e aperfeiçoamento que unem teoria, prática e inovação, preparando profissionais para lidar com casos complexos como este.
Se você deseja ampliar seus conhecimentos e se destacar na odontologia, conheça o curso de especialização da EAP-Goiás e descubra outras formações que podem transformar sua carreira.
Acesse nosso site e faça parte dessa história de excelência em odontologia.
Referências:
https://blog.suryadental.com.br/manifestacoes-bucais-de-sifilis
https://www.tuasaude.com/sifilis-na-boca
https://saude.rs.gov.br/sinais-e-sintomas
https://www.tuasaude.com/tratamento-para-sifilis
*O texto acima não foi escrito por cirurgião dentista, portanto a EAP não se responsabiliza pelas informações, uma vez que não possuem caráter científico.