A saúde bucal é um reflexo direto do equilíbrio nutricional do organismo.
Entre as diversas condições que podem impactar a cavidade oral, o escorbuto se destaca como uma doença nutricional cuja manifestação clínica é frequentemente identificada em consultórios odontológicos.
Apesar de ser considerada rara em países desenvolvidos, essa deficiência vitamínica pode acometer indivíduos em situações de vulnerabilidade, sendo crucial que os profissionais da odontologia reconheçam seus sinais e saibam orientar os pacientes corretamente.
Neste artigo, abordaremos detalhadamente como o escorbuto afeta a saúde bucal, desde sua fisiopatologia até sua prevenção e tratamento.

Sumário
- O que é escorbuto?
- O que causa o escorbuto?
- Quais as consequências do escorbuto para a saúde bucal?
- Quais os sintomas de escorbuto?
- Como se prevenir do escorbuto?
- Tratamento do escorbuto
- Quais os grupos de risco?
- Conclusão
- Referências:
O que é escorbuto?
O escorbuto é uma doença resultante da deficiência severa e prolongada de vitamina C (ácido ascórbico), um micronutriente essencial para diversas funções biológicas.
Essa vitamina desempenha um papel fundamental na síntese do colágeno, um dos principais componentes estruturais do tecido conjuntivo, incluindo gengivas, mucosa oral e ligamentos periodontais.
O colágeno é responsável por conferir resistência e elasticidade aos tecidos, garantindo a integridade das gengivas e a fixação adequada dos dentes.
A ausência prolongada de vitamina C compromete a regeneração celular e a resposta imune, tornando os tecidos bucais mais suscetíveis a inflamações, sangramentos espontâneos e infecções secundárias.
O enfraquecimento da barreira epitelial também facilita a proliferação bacteriana, agravando quadros periodontais preexistentes e contribuindo para a progressão da doença periodontal.
Sem níveis adequados de vitamina C, o organismo não consegue manter a integridade dos vasos sanguíneos e do tecido conjuntivo, levando a manifestações clínicas severas, muitas das quais podem ser observadas na cavidade oral.

O que causa o escorbuto?
A principal causa do escorbuto é a ingestão insuficiente de vitamina C ao longo do tempo.
Como o corpo humano não sintetiza essa vitamina, é necessário obtê-la por meio da alimentação.
Dietas pobres em frutas e vegetais frescos, associadas a condições que reduzem a absorção ou aumentam a demanda por vitamina C, podem favorecer o desenvolvimento da doença.
Entre os fatores predisponentes, destacam-se:
- Má nutrição ou dietas extremamente restritivas, que comprometem a ingestão adequada de micronutrientes essenciais;
- Alcoolismo crônico, que interfere na absorção e no metabolismo da vitamina C;
- Tabagismo, que intensifica o estresse oxidativo e eleva a demanda por antioxidantes, incluindo a vitamina C;
- Doenças gastrointestinais, como doença de Crohn e síndrome do intestino curto, que reduzem a absorção de nutrientes;
- Condições que elevam a necessidade metabólica, como processos infecciosos crônicos, cicatrização de feridas e pós-operatórios extensos.

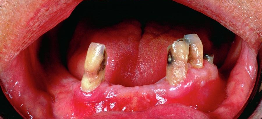
Quais as consequências do escorbuto para a saúde bucal?
Os sinais bucais do escorbuto são frequentemente os primeiros a serem notados, tornando os cirurgiões-dentistas profissionais-chave na detecção precoce da doença.
A deficiência de vitamina C compromete a integridade dos tecidos periodontais, levando a diversas complicações:
Inflamação e sangramento na gengiva
A deficiência de colágeno enfraquece os tecidos gengivais, tornando-os propensos a inflamações severas.
Pacientes com escorbuto frequentemente apresentam gengivite intensa, com edema e sangramento espontâneo, mesmo na ausência de fatores locais irritantes.

Fraqueza dos dentes
A degradação do colágeno impacta os ligamentos periodontais responsáveis pela fixação dentária.
Com isso, os dentes podem apresentar mobilidade aumentada, elevando o risco de deslocamento e complicações associadas.
Perda de dentes
O avanço do escorbuto sem intervenção pode resultar na perda dentária progressiva.
A destruição dos tecidos de suporte e a fragilidade gengival levam à avulsão espontânea dos dentes, especialmente em casos crônicos.

Problemas de cicatrização na gengiva
A cicatrização comprometida é uma característica marcante do escorbuto.
Pacientes submetidos a procedimentos cirúrgicos odontológicos, como extrações ou raspagens, podem apresentar dificuldades na regeneração tecidual, tornando-se mais suscetíveis a infecções e complicações pós-operatórias.
Quais os sintomas de escorbuto?
O escorbuto não se manifesta apenas na cavidade oral, mas também por meio de sinais sistêmicos que podem auxiliar no diagnóstico.
Entre os sintomas mais comuns estão:
- Hematomas espontâneos na pele, decorrentes da fragilidade capilar e do comprometimento na síntese do colágeno.
- Fadiga crônica e fraqueza muscular, provocadas pela dificuldade na produção de carnitina, substância essencial para o metabolismo energético celular.
- Dor articular e óssea, resultado da deterioração das fibras colágenas presentes no tecido ósseo e cartilaginoso.
- Anemia ferropriva associada, causada pela redução da absorção de ferro no trato gastrointestinal.
- Retardo na cicatrização de feridas, devido à regeneração tecidual deficiente e à resposta imune enfraquecida.

Como se prevenir do escorbuto?
A prevenção do escorbuto depende de uma dieta equilibrada e da ingestão adequada de vitamina C.
Para garantir níveis suficientes desse nutriente, recomenda-se:
- Consumir regularmente frutas cítricas, morangos, kiwi, pimentões, tomates e vegetais de folhas verdes, fontes naturais de vitamina C.
- Evitar dietas extremamente restritivas sem acompanhamento profissional, pois essas podem comprometer o aporte de micronutrientes essenciais.
- Considerar a suplementação de vitamina C em indivíduos com maior risco de deficiência, como pacientes com doenças gastrointestinais e fumantes, mediante orientação médica.
- Realizar acompanhamento odontológico periódico para identificação precoce de manifestações bucais relacionadas à carência desse nutriente, permitindo intervenções precoces e eficazes.

Tratamento do escorbuto
O tratamento do escorbuto é relativamente simples e altamente eficaz quando iniciado precocemente.
A reposição de vitamina C por via oral ou intravenosa resulta na melhora dos sintomas em poucos dias.
O manejo odontológico deve ser integrado e abranger:
- Controle da inflamação gengival por meio de uma higiene oral rigorosa e personalizada, com instrução profissional adequada;
- Tratamentos periodontais específicos para reverter ou estabilizar os danos aos tecidos de suporte dos dentes;
- Monitoramento nutricional contínuo para evitar recidivas e assegurar a manutenção dos níveis adequados de vitamina C;
Acompanhamento interdisciplinar, envolvendo profissionais da odontologia e da nutrição, para uma abordagem mais abrangente na recuperação do paciente.

Quais os grupos de risco?
Os grupos de risco para o escorbuto incluem indivíduos cujos hábitos alimentares ou condições de saúde resultam em uma ingestão insuficiente, ou absorção inadequada de vitamina C.
Idosos que possuem dietas monótonas e pobres em nutrientes, muitas vezes devido a dificuldades de mastigação, problemas de mobilidade ou falta de acesso a alimentos frescos, apresentam maior suscetibilidade.
Pacientes com doenças gastrointestinais, como doença de Crohn, retocolite ulcerativa e síndromes de má absorção, podem enfrentar déficits nutricionais significativos, comprometendo os níveis adequados dessa vitamina.
Pessoas em situação de vulnerabilidade social, incluindo indivíduos em extrema pobreza ou em instituições com alimentação restrita, também correm risco aumentado.
Além disso, fumantes e alcoólatras crônicos possuem uma demanda metabólica mais elevada de vitamina C, pois o tabagismo e o consumo excessivo de álcool intensificam o estresse oxidativo e reduzem a eficiência da absorção desse nutriente essencial.
Pacientes com distúrbios alimentares, como anorexia nervosa e ortorexia, frequentemente apresentam déficits vitamínicos severos, tornando-se mais propensos ao desenvolvimento da doença.

Conclusão
O escorbuto é uma doença evitável, mas que ainda pode ser encontrada na prática odontológica, especialmente em pacientes vulneráveis.
O reconhecimento precoce dos sinais bucais pode ser fundamental para o diagnóstico e tratamento eficaz.
Profissionais da odontologia são essenciais na orientação nutricional e no manejo das complicações periodontais associadas a essa deficiência vitamínica.
Se você deseja aprofundar seus conhecimentos sobre patologias orais e aprimorar sua atuação clínica, conheça os cursos da EAP-Goiás.
Com tradição e excelência, a instituição é referência em educação odontológica, proporcionando atualizações científicas de alto nível e contribuindo para o desenvolvimento profissional dos cirurgiões-dentistas.
Acesse nosso site e descubra como a EAP-Goiás pode impulsionar sua carreira!
Referências:
https://www.tuasaude.com/ESCORBUTO
https://altadiagnosticos.com.br
https://www.rededorsaoluiz.com.br/doencas/escorbuto
https://www.msdmanuals.com/pt/profissional/
https://altadiagnosticos.com.br/saude/escorbuto
https://www.einstein.br/n/glossario-de-saude/escorbuto
*O texto acima não foi escrito por cirurgião dentista, portanto a EAP não se responsabiliza pelas informações, uma vez que não possuem caráter científico.