O desgaste do esmalte dentário é uma condição progressiva que pode comprometer a saúde bucal e a qualidade de vida do paciente.
A identificação precoce dos fatores causadores, aliada a estratégias de remineralização e reabilitação, é essencial para minimizar os danos e preservar a estrutura dentária.
O contorno gengival desempenha um papel fundamental na harmonia do sorriso e na saúde bucal.
Para muitos pacientes, um excesso de gengiva ou uma assimetria na linha gengival pode comprometer a estética do sorriso, levando-os a buscar soluções odontológicas para corrigir essas imperfeições.
A gengivoplastia é um procedimento que permite remodelar a gengiva para melhorar a estética e, em alguns casos, até mesmo otimizar a funcionalidade periodontal.
Com o avanço das técnicas cirúrgicas e o uso de tecnologias como o laser, esse procedimento se tornou mais acessível e menos invasivo, garantindo resultados previsíveis e satisfatórios para os pacientes.
Mas como esse procedimento funciona? Quais as indicações e contraindicações? Neste artigo, exploraremos detalhadamente tudo o que os profissionais da odontologia precisam saber sobre a gengivoplastia.

O que é gengivoplastia?
A gengivoplastia é um procedimento cirúrgico minimamente invasivo que tem como principal finalidade a remodelação do contorno gengival, conferindo um alinhamento mais estético e proporcional aos dentes.
Seu uso é amplamente difundido na odontologia estética, pois possibilita a correção de desarmonias como gengivas hipertróficas, sorriso gengival excessivo e assimetrias na linha da gengiva.
O procedimento é realizado com técnicas de precisão que permitem um ajuste sutil do tecido gengival, resultando em um sorriso mais equilibrado e natural.
Embora seja considerada uma cirurgia de finalidade estética, a gengivoplastia pode gerar benefícios funcionais, como a facilitação da higienização bucal, já que a remoção de excessos de tecido gengival pode diminuir o acúmulo de placa bacteriana e reduzir a predisposição a inflamações gengivais.
Além disso, ao promover um contorno gengival mais uniforme, esse procedimento melhora a adaptação de próteses e restaurações dentárias, proporcionando um acabamento mais refinado e uma estética final aprimorada.
A gengivoplastia pode ser realizada isoladamente ou em conjunto com outros procedimentos odontológicos, como clareamento dental ou reabilitações protéticas, sempre levando em consideração as características individuais de cada paciente para garantir um resultado harmonioso e funcional.

Quando a gengivoplastia é indicada?
A gengivoplastia é recomendada para pacientes que apresentam alterações na morfologia gengival capazes de comprometer a estética do sorriso e, em alguns casos, interferir na funcionalidade bucal.
A definição do procedimento como opção terapêutica depende de uma avaliação criteriosa da estrutura gengival, levando em consideração fatores como a proporção entre os tecidos moles e duros, a saúde periodontal e a expectativa do paciente em relação ao resultado.
A falta de uniformidade no contorno gengival pode comprometer a estética do sorriso, criando uma percepção visual de irregularidade no alinhamento dos dentes.
Assimetrias na altura gengival podem ser congênitas ou resultar de processos inflamatórios e cicatriciais ao longo do tempo.
Ao corrigir desarmonias, a gengivoplastia possibilita a readequação dessas margens gengivais, esculpindo um contorno mais simétrico e proporcional, o que contribui para um sorriso mais harmônico e natural.
O procedimento é frequentemente associado a tratamentos restauradores e protéticos para garantir uma integração estética completa.
Com o procedimento, é possível corrigir problemas, como:
Sorriso gengival
O sorriso gengival caracteriza-se pela exposição excessiva da gengiva ao sorrir, o que pode gerar um impacto estético significativo.
Essa condição pode estar associada a diferentes fatores, como crescimento exagerado do tecido gengival, alterações no processo de erupção passiva dos dentes ou até mesmo hiperatividade do músculo elevador do lábio superior.
A gengivoplastia atua na remoção do excesso gengival e na redefinição do contorno dos tecidos moles, tornando a linha do sorriso mais harmoniosa e equilibrada em relação aos dentes e aos lábios.

Retração gengival
O aumento do volume gengival, conhecido como hiperplasia gengival, pode ter origem inflamatória, medicamentosa ou genética.
Pacientes que fazem uso prolongado de determinados fármacos, como anticonvulsivantes, imunossupressores e bloqueadores dos canais de cálcio, estão mais suscetíveis ao crescimento excessivo do tecido gengival, o que pode dificultar a higienização e favorecer o desenvolvimento de inflamações gengivais crônicas.
Nestes casos, a gengivoplastia pode ser indicada como parte do plano terapêutico, visando restabelecer a proporção ideal entre a gengiva e a estrutura dentária, promovendo tanto uma melhora estética quanto funcional.

Qual a diferença da Gengivoplastia e a Gengivectomia?
Embora os termos sejam frequentemente confundidos, gengivoplastia e gengivectomia são procedimentos distintos, cada um com suas indicações e objetivos específicos.
A gengivectomia consiste na remoção cirúrgica de tecido gengival em excesso e é amplamente utilizada no tratamento de hiperplasias gengivais, que podem ser desencadeadas por inflamações crônicas, uso prolongado de determinados medicamentos – como bloqueadores de canais de cálcio, imunossupressores e anticonvulsivantes – ou condições periodontais avançadas.
Esse procedimento visa restaurar a morfologia gengival saudável, eliminando bolsas periodontais e facilitando a higienização bucal, prevenindo a progressão de doenças periodontais.
Já a gengivoplastia tem um propósito predominantemente estético, sendo indicada para a remodelação do contorno gengival com o objetivo de harmonizar o sorriso.
Diferente da gengivectomia, que envolve uma remoção mais extensa de tecido gengival comprometido, a gengivoplastia foca na escultura da gengiva, proporcionando uma linha gengival mais regular e proporcional em relação aos dentes.
Esse procedimento pode ser associado a tratamentos restauradores e ortodônticos, garantindo um melhor equilíbrio entre os tecidos moles e a estrutura dentária.
Ambas as técnicas podem ser complementares, especialmente em casos em que há necessidade de correção funcional e estética simultaneamente, permitindo ao profissional uma abordagem personalizada para atender às necessidades do paciente.

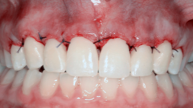
Como é feita a cirurgia?
A gengivoplastia pode ser realizada por meio de diferentes técnicas, cuja escolha dependerá da complexidade do caso clínico, do planejamento estético e funcional, bem como da experiência e preferência do profissional.
O procedimento é conduzido sob anestesia local, garantindo conforto ao paciente durante toda a intervenção.
A definição do método cirúrgico adequado leva em consideração fatores como espessura gengival, nível ósseo subjacente e presença de condições inflamatórias prévias.
Entre as técnicas disponíveis, o bisturi convencional é amplamente utilizado para esculpir a gengiva com precisão, sendo uma opção eficaz para remodelação criteriosa do tecido.
O eletrocautério, por sua vez, permite a coagulação simultânea dos vasos sanguíneos, reduzindo o sangramento intraoperatório e favorecendo um processo cicatricial mais controlado.
O uso do laser cirúrgico tem ganhado destaque devido à sua capacidade de promover cortes mais precisos, minimizar o desconforto pós-operatório e estimular uma reparação tecidual acelerada, tornando-se uma alternativa vantajosa para procedimentos minimamente invasivos.
O tempo médio da cirurgia varia entre 30 e 60 minutos, dependendo da extensão da área a ser remodelada e da complexidade do caso.
O planejamento adequado e a escolha da técnica mais apropriada são determinantes para um resultado previsível e satisfatório, garantindo a harmonia do contorno gengival e a manutenção da saúde periodontal.

Quais são as vantagens da gengivoplastia?
A gengivoplastia oferece uma série de benefícios estéticos e funcionais, sendo uma excelente opção para pacientes que desejam aprimorar a harmonia do sorriso e melhorar a saúde gengival.
Entre as principais vantagens, destacam-se:
- Melhoria da estética do sorriso: A remodelação gengival proporciona um contorno mais harmonioso, reduzindo excessos de tecido e corrigindo desproporções que podem comprometer a aparência do sorriso.
- Correção de assimetrias gengivais: A uniformização da linha gengival favorece o equilíbrio estético e contribui para melhores resultados em tratamentos restauradores e protéticos.
- Facilitação da higienização bucal: Gengivas bem delineadas reduzem áreas de retenção de placa bacteriana, tornando a escovação e o uso do fio dental mais eficazes, prevenindo inflamações gengivais e doenças periodontais.
- Procedimento minimamente invasivo: Realizado sob anestesia local, o procedimento é rápido, pouco invasivo e apresenta um período de recuperação breve, permitindo que o paciente retome suas atividades habituais em poucos dias.
- Cicatrização rápida e previsível: Métodos modernos, como o uso de laser, favorecem um pós-operatório mais confortável, reduzindo sangramentos, inchaços e desconfortos, além de acelerar a regeneração tecidual.
- Aprimoramento da adaptação gengival a restaurações: A remodelação do tecido gengival contribui para um melhor ajuste de coroas, facetas e próteses, favorecendo a longevidade dos tratamentos odontológicos.
Essas vantagens fazem da gengivoplastia um procedimento eficaz para quem busca um equilíbrio entre estética e saúde gengival, garantindo um sorriso mais harmônico e funcional.

Contraindicações da cirurgia
Embora a gengivoplastia seja um procedimento seguro e eficaz, existem algumas condições que podem contraindicar sua realização.
A avaliação criteriosa do histórico clínico e da saúde bucal do paciente é essencial para evitar complicações e garantir um resultado satisfatório.
Entre as principais contraindicações, destacam-se:
- Doença periodontal ativa: Pacientes com gengivite ou periodontite não controladas devem tratar essas condições antes de se submeterem à gengivoplastia, pois a inflamação gengival pode comprometer a cicatrização e a estabilidade do tecido remodelado.
- Distúrbios hemorrágicos: Indivíduos com alterações na coagulação sanguínea, como hemofilia ou uso contínuo de anticoagulantes, apresentam maior risco de sangramento excessivo durante e após o procedimento. A avaliação médica e o controle desses fatores são fundamentais antes da realização da cirurgia.
- Expectativas irreais quanto ao resultado: Pacientes que esperam transformações exageradas na estética do sorriso podem não se beneficiar do procedimento. É essencial que o profissional esclareça os limites da gengivoplastia e alinhe as expectativas do paciente com o resultado possível.
- Hábitos como bruxismo severo sem controle: O bruxismo pode causar sobrecarga nos tecidos periodontais, levando à recessão gengival e comprometendo a longevidade dos resultados da cirurgia. O controle desse hábito, por meio de placas oclusais ou outros tratamentos, deve ser priorizado antes da intervenção.
- Condições sistêmicas descompensadas: Pacientes com diabetes descontrolado, imunossupressão ou outras doenças sistêmicas que interferem na cicatrização podem apresentar maior risco de complicações pós-operatórias. A estabilização dessas condições é essencial antes do procedimento.
- Tabagismo excessivo: O consumo elevado de tabaco prejudica a vascularização dos tecidos gengivais, retardando a cicatrização e aumentando o risco de infecções. Pacientes fumantes devem ser orientados sobre os impactos do hábito e, se possível, reduzir ou cessar o uso antes da cirurgia.
A avaliação odontológica detalhada e um planejamento individualizado são fundamentais para garantir a segurança do procedimento e otimizar os resultados estéticos e funcionais da gengivoplastia.

A gengiva pode voltar a crescer?
A recorrência do crescimento gengival após a gengivoplastia pode ocorrer em determinadas situações.
Pacientes que apresentam fatores predisponentes, como hiperplasia gengival medicamentosa, inflamação crônica não controlada ou má higiene bucal, podem desenvolver novo aumento gengival com o tempo.
Para minimizar esse risco, é essencial um acompanhamento odontológico regular, além da adoção de bons hábitos de higiene e controle dos fatores etiológicos.
Em casos de hiperplasia gengival associada ao uso de medicamentos, pode ser necessário o ajuste da medicação em conjunto com o médico responsável para evitar o crescimento excessivo do tecido gengival no futuro.

Como funciona o pós-operatório?
A recuperação da gengivoplastia costuma ser rápida e sem grandes complicações, desde que os cuidados pós-operatórios sejam seguidos corretamente. Nos primeiros dias, é essencial evitar qualquer fator que possa comprometer a cicatrização do tecido gengival. Algumas orientações fundamentais incluem:
- Evitar alimentos muito quentes ou duros: Alimentos de temperaturas elevadas podem aumentar a sensibilidade gengival e retardar a cicatrização. Já os alimentos rígidos podem causar trauma mecânico na região operada, levando a desconforto e possíveis complicações. O ideal é optar por uma dieta leve e fria nos primeiros dias, incluindo alimentos pastosos e macios.
- Manter uma boa higiene bucal com escovação suave: A higienização deve ser mantida rigorosamente para evitar infecções, mas com delicadeza para não irritar os tecidos em recuperação. O uso de escovas ultramacias e técnicas de escovação controladas são recomendados, além da possível indicação de enxaguantes bucais antissépticos para complementar a limpeza.
- Uso de analgésicos e anti-inflamatórios conforme prescrição: O controle da dor e do processo inflamatório é fundamental para proporcionar conforto ao paciente e evitar inflamações excessivas. O uso de medicamentos deve seguir rigorosamente a prescrição do cirurgião-dentista para garantir segurança e eficácia no alívio dos sintomas.
- Evitar o consumo de bebidas alcoólicas e tabaco: O tabagismo e a ingestão de álcool podem comprometer a vascularização da gengiva e retardar o processo de cicatrização, além de aumentar o risco de infecções.
Seguir corretamente essas recomendações contribui para uma recuperação mais confortável e para a obtenção de um resultado estético e funcional satisfatório.

Tempo de recuperação da gengivoplastia
O tempo de recuperação varia de acordo com a resposta biológica de cada paciente, a extensão do procedimento realizado e o cumprimento das recomendações pós-operatórias.
A cicatrização inicial ocorre geralmente em cerca de sete dias, período em que o desconforto e o edema diminuem significativamente. Entretanto, a completa remodelação tecidual pode levar de um a três meses, tempo necessário para que a gengiva adquira sua forma definitiva e se adapte ao novo contorno.
Durante esse período, é fundamental manter o acompanhamento profissional para garantir uma recuperação adequada e evitar possíveis complicações.

Gengivoplastia dói?
A gengivoplastia é um procedimento minimamente invasivo, realizado sob anestesia local, o que garante que o paciente não sinta dor durante a intervenção.
No pós-operatório, é comum haver um leve desconforto, acompanhado de sensibilidade na região operada.
Esses sintomas costumam ser bem tolerados e podem ser controlados com o uso de analgésicos e anti-inflamatórios prescritos pelo cirurgião-dentista.
Técnicas modernas, como o uso de laser cirúrgico, podem reduzir ainda mais o desconforto e acelerar o processo de cicatrização.
Além disso, o profissional pode recomendar o uso de géis cicatrizantes ou enxaguantes bucais específicos para promover uma recuperação mais confortável.
O seguimento adequado das orientações pós-operatórias contribui para minimizar qualquer incômodo e garantir um retorno tranquilo às atividades cotidianas.

Conclusão
A gengivoplastia é um procedimento seguro e eficaz, amplamente utilizado para aprimorar a estética do sorriso e corrigir assimetrias gengivais, promovendo um contorno mais harmonioso da gengiva.
Quando realizada por um profissional capacitado, proporciona resultados previsíveis e satisfatórios, melhorando não apenas a estética, mas também a autoconfiança do paciente.
Para os profissionais da odontologia que desejam se aprofundar em procedimentos estéticos e ampliar seus conhecimentos, a EAP-Goiás oferece cursos especializados voltados para a atualização e aperfeiçoamento na área.
Com mais de 40 anos de tradição na formação de cirurgiões-dentistas, a instituição se destaca pela qualidade de ensino e pelo compromisso com a excelência profissional.
Invista na sua capacitação e aprimore suas habilidades!
Conheça os cursos da EAP-Goiás e destaque-se no mercado da odontologia!
Referências:
https://blog.suryadental.com.br/novembro-gengivoplastia-indicacoes-como-e-feito-e-mais
https://dentalestheticcenter.com.br/gengivoplastia-conheca-tudo-sobre-o-procedimento/
https://benessereodonto.com.br/odontologia-estetica/gengivoplastia/
https://blog.odontoclinic.com.br/saude-bucal/gengivoplastia/
https://uniodontocampinas.com.br/blog/gengivoplastia-como-funciona-e-como-impacta-na-saude-bucal
*O texto acima não foi escrito por cirurgião dentista, portanto a EAP não se responsabiliza pelas informações, uma vez que não possuem caráter científico.