A hiperdontia é uma condição que pode intrigar tanto os pacientes quanto os profissionais da odontologia.
Quando dentes a mais nascem na boca, surgem inúmeras questões sobre as causas, os sintomas e, principalmente, o tratamento adequado.
Este artigo aborda de forma detalhada essas questões, trazendo informações relevantes e baseadas em práticas odontológicas avançadas.
Vamos explorar juntos o que é a hiperdontia, como diagnosticá-la e as melhores opções de tratamento para garantir a saúde bucal dos pacientes.

O que é hiperdontia?
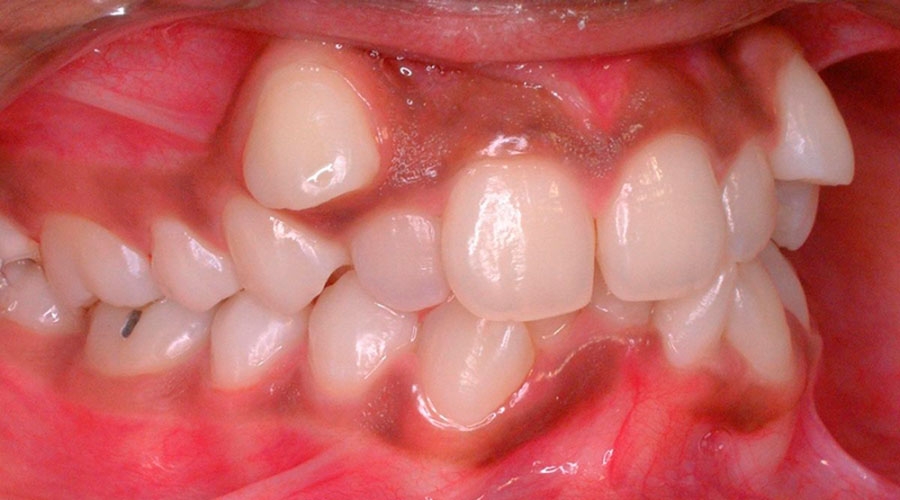
A hiperdontia é definida como a presença de dentes supranumerários na dentição.
Esses dentes extras podem aparecer tanto na dentição decídua, quanto na permanente e podem surgir em qualquer região da arcada dentária.
Assim, pode ser classificada em várias categorias, dependendo da localização e do tipo de dentes envolvidos.
A mais comum é a hiperdontia de incisivos superiores, frequentemente associada a dentes conóides ou suplementares.
O que é hiperdontia múltipla?
A hiperdontia múltipla é uma variação mais rara da condição, onde múltiplos dentes supranumerários estão presentes.
Esse tipo está frequentemente associado a síndromes genéticas, como a displasia cleidocraniana e a síndrome de Gardner.
Na prática clínica, é essencial reconhecer essa forma, pois pode demandar um plano de tratamento mais complexo e multidisciplinar, envolvendo ortodontistas, cirurgiões bucomaxilofaciais e, em alguns casos, geneticistas.

A hiperdontia se manifesta na infância ou apenas na fase adulta?
A hiperdontia pode se manifestar tanto na infância quanto na fase adulta.
Na infância, os dentes supranumerários podem ser detectados durante os exames de rotina, geralmente na fase de troca dos dentes decíduos pelos permanentes.
Já na fase adulta, pode ser identificada durante avaliações radiográficas para outros tratamentos odontológicos.
A identificação precoce é crucial para prevenir complicações e planejar um tratamento adequado.

O que causa o nascimento de dentes a mais na boca?
As causas da hiperdontia ainda não são completamente compreendidas, mas acredita-se que fatores genéticos desempenhem um papel significativo.
A condição pode ser hereditária, com uma predisposição familiar clara em muitos casos. Outros fatores que podem contribuir incluem:
Distúrbios no desenvolvimento embrionário: Alterações durante a formação dos dentes no útero.
Mutações genéticas: Alterações em genes específicos envolvidos no desenvolvimento odontogênico.
Doenças sindrômicas: Condições como a displasia cleidocraniana, síndrome de Gardner e outros distúrbios genéticos.

Quais são os sintomas da hiperdontia?
Os sintomas da hiperdontia podem variar significativamente dependendo da localização e do número de dentes supranumerários presentes.
1- Dentes Extras
Entre os sintomas mais comuns da hiperdontia, podemos destacar o aparecimento de dentes extras.
Esses dentes supranumerários podem ser observados durante exames clínicos de rotina ou podem ser percebidos pelo próprio paciente.
A presença desses dentes adicionais pode ocorrer em qualquer região da arcada dentária, embora seja mais comum na área dos incisivos superiores e podem ser de formas variadas, incluindo dentes cônicos ou suplementares, que se assemelham aos dentes normais.
2- Apinhamento Dentário
Os dentes supranumerários frequentemente causam apinhamento dentário, uma condição em que há falta de espaço na arcada dentária para acomodar todos os dentes presentes.
Isso resulta em dentes que se sobrepõem ou se alinham de maneira inadequada, criando um sorriso desorganizado e potencialmente dificultando a higiene oral.

3- Desalinhamento Dentário
Além do apinhamento, o desalinhamento dentário é outro sintoma comum. Dentes extras podem empurrar os dentes permanentes para fora de posição, causando maloclusões e problemas de mordida que podem exigir correção ortodôntica.
4- Dificuldade na erupção dos dentes
Outro sintoma significativo da hiperdontia, é a dificuldade na erupção dos dentes.
Os dentes supranumerários podem obstruir o caminho dos dentes permanentes, impedindo sua erupção normal.
Esta condição pode causar desconforto e, eventualmente, dor para o paciente, além de complicar o alinhamento dentário geral.

5- Problemas Estéticos
Problemas estéticos são frequentemente relatados por pacientes com hiperdontia.
A presença de dentes extras pode afetar a aparência do sorriso, resultando em preocupações estéticas significativas.
Os pacientes podem se sentir constrangidos ou insatisfeitos com a aparência de seus dentes, o que pode afetar sua autoestima e qualidade de vida.
6- Anomalias dentárias
Em alguns casos, a hiperdontia pode estar associada a outras anomalias dentárias, como formações císticas ou tumores odontogênicos, que também devem ser considerados no diagnóstico e tratamento.

Logo, os sintomas da hiperdontia são variados e podem ter impactos significativos na saúde bucal e na qualidade de vida dos pacientes.
Desde o aparecimento visível de dentes extras até problemas de apinhamento, desalinhamento, dificuldades na erupção e preocupações estéticas, a hiperdontia requer uma abordagem cuidadosa e multidisciplinar para seu manejo adequado.
Como é o diagnóstico de hiperdontia?
O diagnóstico de hiperdontia é geralmente realizado através de exames clínicos e radiográficos.
Durante a avaliação clínica, o dentista pode observar a presença de dentes extras na cavidade bucal.
Radiografias panorâmicas e periapicais são essenciais para confirmar o diagnóstico e determinar a posição exata dos dentes supranumerários.
Em alguns casos, tomografias computadorizadas podem ser utilizadas para uma avaliação mais detalhada, especialmente em casos de hiperdontia múltipla ou complexa.

Qual o problema de ter dentes a mais na boca?
A presença de dentes supranumerários pode causar uma série de problemas, tanto funcionais quanto estéticos.
Alguns dos principais problemas associados à hiperdontia incluem:
- Apinhamento e desalinhamento dentário: Os dentes extras podem causar falta de espaço na arcada dentária, levando ao apinhamento e desalinhamento dos dentes permanentes.
- Impactação dentária: Dentes supranumerários podem impedir a erupção normal dos dentes permanentes, levando à impactação dentária.
- Problemas estéticos: A presença de dentes a mais pode afetar a estética do sorriso, causando desconforto social e psicológico ao paciente.
- Complicações ortodônticas: A hiperdontia pode complicar o planejamento e execução de tratamentos ortodônticos, exigindo intervenções mais complexas.
- Desenvolvimento de cistos ou tumores: Em casos raros, dentes supranumerários podem estar associados ao desenvolvimento de cistos dentígeros ou tumores odontogênicos.

Qual o tratamento para hiperdontia?
O tratamento depende de vários fatores, incluindo a localização, número e impacto dos dentes supranumerários.
As opções de tratamento incluem:
- Monitoramento: Em casos onde os dentes supranumerários não estão causando problemas funcionais ou estéticos, pode ser recomendado apenas o monitoramento regular.
- Extração: Quando os dentes supranumerários estão causando problemas, a extração é o tratamento mais comum. A extração pode ser realizada sob anestesia local ou geral, dependendo da complexidade do caso.
- Ortodontia: Após a extração dos dentes supranumerários, pode ser necessário um tratamento ortodôntico para corrigir o alinhamento dos dentes e garantir uma oclusão adequada.
- Cirurgia ortognática: Em casos mais complexos, onde os dentes supranumerários estão profundamente impactados ou causando deformidades significativas, pode ser necessário um procedimento de cirurgia ortognática.

Conclusão
A hiperdontia é uma condição que pode ter um impacto significativo na saúde bucal dos pacientes.
O diagnóstico precoce e o tratamento adequado são essenciais para prevenir complicações e garantir uma dentição saudável.
Para profissionais da odontologia, é fundamental estar bem informado sobre as melhores práticas para lidar com essa condição, proporcionando um atendimento de qualidade aos pacientes.
Se você está interessado em aprofundar seus conhecimentos e melhorar suas habilidades na área odontológica, explore os cursos de especialização oferecidos pela EAP-Goiás.
Acesse nosso site para saber mais sobre os programas disponíveis e como eles podem ajudar a elevar sua carreira profissional.
Referências:
https://blog.odontoclinic.com.br/ortodontia/hiperdontia/
https://blog.odontocompany.com/o-que-e-hiperdontia-e-como-acontece-descubra
https://sorrisologia.com.br/w/hiperdontia-o-que-e-quais-sao-as-causas-qual-o-melhor-tratamento_a9518
*O texto acima não foi escrito por cirurgião dentista, portanto a EAP não se responsabiliza pelas informações, uma vez que não possuem caráter científico.