14 out 2024
EAPGOIAS, Fique Sabendo

O que Pode Alterar o pH Bucal?

Cartela de ph bucal e vidro com líquido amarelo

Manter um pH bucal equilibrado é essencial para a saúde oral.

Entretanto, poucos profissionais da odontologia e pacientes compreendem plenamente como pequenas mudanças no pH da boca podem impactar significativamente a saúde dos dentes e gengivas.

Neste artigo, vamos explorar o que é o pH bucal, como ele se relaciona com a saliva, os fatores que podem alterá-lo, e as consequências dessas alterações.

Ao compreender melhor esses aspectos, profissionais da odontologia estarão mais preparados para orientar seus pacientes sobre como manter um ambiente bucal saudável.

Mulher sorrindo em consultório odontológico.
O pH bucal é um indicador importante para avaliar o equilíbrio ácido-base na boca, influenciando diretamente a saúde dental e o risco de cáries.

Sumário

O que é pH?

O pH é uma escala que mede o nível de acidez ou alcalinidade de uma substância, variando de 0 a 14, onde 7 é considerado neutro.

Quando o pH é inferior a 7, a substância é considerada ácida, e quando superior, alcalina.

Na cavidade oral, o pH ideal para manter os dentes e as gengivas saudáveis varia entre 6,5 e 7,5.

Qualquer desvio significativo dessa faixa pode levar a problemas orais, como cáries, erosão dentária e doenças periodontais.

A importância de manter o pH equilibrado está na sua relação direta com a desmineralização e remineralização do esmalte dental.

Quando o pH bucal cai abaixo de 5,5, o esmalte dos dentes começa a desmineralizar, o que pode levar ao surgimento de cáries.

Por outro lado, quando o pH se mantém em níveis adequados, a remineralização ocorre, fortalecendo a estrutura dental.

Escala de PH
Manter o pH bucal em torno de 6,5 a 7,0 é essencial para evitar a desmineralização do esmalte dentário e prevenir a erosão ácida.

Qual a relação da saliva com o pH bucal?

A saliva desempenha um papel fundamental na regulação do pH bucal.

Rica em bicarbonato, cálcio e fosfato, a saliva atua como um tampão natural, ajudando a neutralizar ácidos que podem baixar o pH da boca.

Além disso, a saliva auxilia no processo de remineralização do esmalte, fornecendo os minerais necessários para reparar danos causados pela exposição aos ácidos.

A quantidade e qualidade da saliva, portanto, são fatores decisivos para manter o pH bucal estável.

Condições que afetam a produção de saliva, como xerostomia (boca seca), podem prejudicar essa capacidade de tamponamento, levando a um ambiente bucal mais ácido e propenso a problemas dentários.

Assim, a análise da produção salivar e a avaliação de fatores que possam afetar esse mecanismo são etapas essenciais no cuidado odontológico.

Homem em consulta no consultório odontológico
A saliva desempenha um papel fundamental na manutenção do pH bucal, ajudando a neutralizar os ácidos produzidos por bactérias. (Reprodução/Freepik)

O que altera o pH da boca?

Diversos fatores podem alterar o pH bucal, desequilibrando o ambiente oral e favorecendo a proliferação de bactérias que causam doenças dentárias e gengivais.

Abaixo estão os principais fatores que influenciam o pH bucal:

Alimentos e bebidas ácidas

Consumir alimentos e bebidas com alta acidez, como frutas cítricas, refrigerantes e sucos de frutas, pode rapidamente diminuir o pH da boca.

Esses itens introduzem ácidos diretamente na cavidade oral, reduzindo a capacidade de remineralização do esmalte e aumentando o risco de erosão e cáries.

Além disso, alimentos ricos em açúcar também favorecem a proliferação de bactérias que fermentam o açúcar, produzindo ainda mais ácido.

Mulher sorrindo e segurando um copo de vidro com refrigerante dentro
Alimentos e bebidas ácidas, como frutas cítricas e refrigerantes, podem diminuir o pH da boca, aumentando o risco de desmineralização do esmalte dentário. (Reprodução/Freepik)

Bulimia

A bulimia, um distúrbio alimentar caracterizado por episódios de vômito induzido, tem um impacto severo sobre o pH bucal.

O ácido gástrico presente no vômito é extremamente corrosivo para os dentes e diminui drasticamente o pH na cavidade oral.

Com o tempo, essa exposição frequente a ácidos gástricos leva à erosão dentária grave, sensibilidade dentária e cáries.

Escovação logo após terminar de comer

Embora a escovação seja essencial para a higiene bucal, escovar os dentes logo após consumir alimentos ou bebidas ácidas pode ser prejudicial.

Isso porque, logo após a ingestão de alimentos ácidos, o esmalte dental fica temporariamente mais macio e vulnerável.

Escovar nesse momento pode aumentar o desgaste do esmalte, agravando a erosão dentária.

Recomenda-se aguardar pelo menos 30 minutos após a refeição para que o pH da boca se normalize antes da escovação.

Homem e seu filho escovando os dentes em frente ao espelho no banheiro
Escovar os dentes logo após comer alimentos ácidos pode potencializar o efeito corrosivo no esmalte, pois o pH da boca ainda não foi neutralizado pela saliva. (Reprodução/Freepik)

Fumar

O tabagismo altera significativamente o ambiente bucal, reduzindo a produção de saliva e criando um ambiente propício para o crescimento de bactérias prejudiciais.

Além disso, o fumo contribui para a desidratação da boca, dificultando a neutralização de ácidos e alterando o pH para níveis mais baixos.

Esse desequilíbrio aumenta o risco de doenças periodontais e cáries.

Medicamentos

Certos medicamentos, como os antidepressivos, anti-histamínicos e diuréticos, podem diminuir a produção de saliva, resultando em um pH bucal mais ácido.

Isso ocorre porque a saliva não consegue mais tamponar eficazmente os ácidos, levando a uma maior vulnerabilidade dos dentes a problemas como a desmineralização.

Além disso, medicamentos com alta acidez também contribuem diretamente para a redução do pH da boca.

Mulher segurando comprimido verde e tomando água
Certos medicamentos podem reduzir a produção de saliva, dificultando a regulação do pH bucal e favorecendo um ambiente ácido. (Reprodução/Freepik)

Consequências de alterações no pH da boca

Quando o pH da boca fica desequilibrado, uma série de problemas orais pode ocorrer. Abaixo estão as principais consequências de um pH bucal alterado:

Sensibilidade dentária

A exposição repetida a ácidos pode desgastar o esmalte dos dentes, deixando a dentina exposta.

Como resultado, os dentes tornam-se mais sensíveis a estímulos térmicos e mecânicos, como o consumo de alimentos frios ou quentes.

Mulher com cara de preocupada e tampando a boca com as mãos
A sensibilidade dentária é uma consequência comum das alterações no pH da boca, pois a exposição frequente a ácidos pode desgastar o esmalte e expor a dentina. (Reprodução/Freepik)

Desenvolvimento de aftas

A mudança no pH bucal também pode aumentar a propensão ao desenvolvimento de aftas.

Um ambiente ácido favorece a irritação dos tecidos moles da boca, resultando em lesões dolorosas e inflamatórias.

Desmineralização do esmalte

Quando o pH cai abaixo de 5,5, o esmalte dentário começa a desmineralizar, o que enfraquece a estrutura do dente.

Se não tratado, esse processo pode progredir, levando à formação de cavidades.

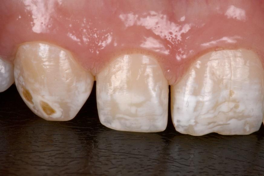
Dente com esmalte desmineralizado
A desmineralização do esmalte ocorre quando o pH da boca se mantém ácido, levando à perda de minerais essenciais que protegem os dentes contra cáries e erosão.

Erosão dentária

A erosão dentária ocorre quando o esmalte é desgastado pelo ácido, expondo a dentina subjacente.

Esse desgaste é irreversível e pode resultar em sensibilidade severa e um risco aumentado de cáries.

Cáries

As bactérias presentes na placa dental produzem ácidos como subproduto da digestão de açúcares.

Esses ácidos, ao longo do tempo, corroem o esmalte dental, criando cavidades que, se não tratadas, podem atingir camadas mais profundas do dente.

Imagem digital de arcada dentária inferior de cárie
Um pH bucal ácido é um fator de risco significativo para o desenvolvimento de cáries, já que favorece a proliferação de bactérias que produzem ácidos nocivos para o esmalte dentário. (Reprodução/Adobe)

Xerostomia

A xerostomia, ou boca seca, reduz a capacidade da saliva de neutralizar ácidos e proteger os dentes.

Sem saliva suficiente, o pH bucal torna-se mais ácido, o que contribui para a formação de cáries e doenças gengivais.

Como reequilibrar o pH bucal?

Felizmente, existem várias maneiras de reequilibrar o pH da boca e proteger a saúde oral:

Higiene bucal

Manter uma boa higiene bucal é a primeira linha de defesa contra a alteração do pH.

A escovação regular, o uso de fio dental e o enxaguante bucal com fórmulas neutras ajudam a remover resíduos de alimentos e bactérias que contribuem para a acidificação da boca.

Hidratação

Beber água regularmente não só ajuda a manter a boca hidratada, como também auxilia no processo de neutralização de ácidos.

A água estimula a produção de saliva, que age como um tampão natural contra ácidos.

Homem bebendo em garrafa de água sentado em banco em frente ao mar
Hidratação adequada ajuda a manter o fluxo salivar constante, essencial para neutralizar ácidos e reequilibrar o pH bucal naturalmente. (Reprodução/Freepik)

Alimentação

Uma dieta balanceada, rica em alimentos alcalinos, como vegetais e frutas não cítricas, ajuda a neutralizar os ácidos na boca.

Reduzir o consumo de açúcar e evitar alimentos ácidos também são medidas eficazes para manter o pH bucal equilibrado.

Mascar chicletes sem açúcar

Mascar chicletes sem açúcar, especialmente os que contêm xilitol, estimula a produção de saliva, ajudando a equilibrar o pH e promover a remineralização do esmalte.

O xilitol também inibe o crescimento de bactérias prejudiciais na cavidade oral.

Mulher colocando chiclete branco na boca
Mascar chicletes sem açúcar pode estimular a produção de saliva, promovendo a neutralização do ácido bucal e auxiliando no reequilíbrio do pH após refeições. (Reprodução/Freepik)

Conclusão

Manter o pH bucal equilibrado é essencial para a preservação da saúde bucal.

Desde os efeitos da dieta até o impacto de condições sistêmicas, cada fator que altera o pH pode ter consequências significativas.

A EAP-Goiás, com seus 40 anos de tradição no ensino odontológico, está comprometida em formar profissionais altamente capacitados e atualizados.

Se você deseja aprofundar seus conhecimentos e aprimorar suas habilidades, conheça nossos cursos de especialização na EAP-Goiás e eleve sua prática odontológica ao próximo nível.

Referências:

https://www.kin.es/pt-br/ph-saliva-en-salud-dental

https://sorridents.com.br/blog/ph-bucal/

https://blog.goldencross.com.br/ph-bucal/

https://blog.odontocompany.com/o-que-e-ph-bucal-e-quais-fatores-podem-altera-lo

*O texto acima não foi escrito por cirurgião dentista, portanto a EAP não se responsabiliza pelas informações, uma vez que não possuem caráter científico.

Receba novidades
por e-mail

Solicite contato

Deixe seu nome e telefone no formulário abaixo, em breve receberá uma ligação de nossa equipe.