Dormir bem é um pilar essencial para a saúde geral, mas, para muitos pacientes, isso está longe de ser realidade.
Na rotina clínica, é cada vez mais comum receber pessoas com queixas de cansaço excessivo, dores musculares, desgaste dentário e relatos de ronco, sem que elas percebam a relação direta desses sinais com distúrbios do sono.
É nesse ponto que a odontologia do sono se torna uma área de atuação estratégica para o cirurgião-dentista, permitindo a identificação precoce e o manejo de condições que impactam tanto a saúde oral quanto a sistêmica.
Ao compreender o funcionamento dessa especialidade, o dentista amplia sua atuação e fortalece sua integração com equipes multiprofissionais, tornando-se um elo fundamental na prevenção e no tratamento de doenças que comprometem a qualidade de vida do paciente.
Neste artigo, vamos explorar os principais distúrbios do sono relacionados à odontologia, entender as causas, os métodos diagnósticos, as formas de tratamento e como o dentista pode desempenhar um papel ativo nessa área em ascensão.

O que é odontologia do sono?
A odontologia do sono é um campo de atuação que estuda, diagnostica e trata distúrbios do sono com repercussões na saúde oral e geral do paciente.
Seu foco principal é o manejo de distúrbios respiratórios do sono (DRS) e alterações funcionais que interferem no repouso noturno, utilizando recursos como aparelhos intraorais, terapias orofaciais e, em casos selecionados, tratamento ortocirúrgico.
O trabalho do dentista nessa área envolve não apenas a execução de procedimentos, mas também a avaliação clínica detalhada, interpretação de exames complementares como a polissonografia e o encaminhamento para outros especialistas quando necessário.
O objetivo é restaurar a função adequada das vias aéreas superiores, promover uma respiração eficaz durante o sono e minimizar impactos como fadiga, dor orofacial, alterações oclusais e desgaste dentário.

Quais distúrbios do sono se relacionam com a odontologia?
Distúrbios Respiratórios do Sono
Englobam condições que dificultam ou interrompem o fluxo de ar durante o sono, provocando fragmentação do repouso, hipóxia intermitente e alterações na arquitetura do sono.
Os mais comuns são o ronco primário e a apneia obstrutiva do sono.
Ronco primário
O ronco primário é a vibração dos tecidos da orofaringe durante a passagem do ar, sem apneias significativas.
Embora muitas vezes seja considerado apenas um incômodo social, pode ser um sinal de risco para evolução a distúrbios mais graves.
O dentista pode atuar com aparelhos intraorais que reposicionam a mandíbula e aumentam o espaço aéreo superior, reduzindo a vibração tecidual.

Apneia Obstrutiva do Sono (AOS)
A AOS é caracterizada por episódios recorrentes de obstrução parcial ou total das vias aéreas superiores durante o sono, levando à redução ou cessação do fluxo de ar por pelo menos 10 segundos.
Esse quadro provoca queda na saturação de oxigênio, microdespertares e sonolência diurna excessiva.
O tratamento odontológico, principalmente com aparelhos de avanço mandibular, é indicado em casos leves e moderados, ou como coadjuvante em casos graves, sempre integrado a um plano multiprofissional.
Bruxismo
O bruxismo do sono é uma atividade parafuncional caracterizada pelo apertamento ou ranger dos dentes durante o sono.
Além de desgaste dentário e fraturas, pode gerar dor orofacial e disfunção temporomandibular.
Estudos mostram que ele pode estar associado a distúrbios respiratórios do sono, sendo importante que o dentista investigue possíveis causas secundárias antes de iniciar o tratamento com placas oclusais.

Quais as causas dos distúrbios do sono?
As causas são multifatoriais e podem incluir:
- Alterações anatômicas: retrognatismo mandibular, hipertrofia de tecidos moles, macroglossia, obstrução nasal crônica.
- Fatores neuromusculares: hipotonia de musculatura faríngea durante o sono.
- Comportamentais: consumo de álcool, sedativos, má higiene do sono.
- Condições sistêmicas: obesidade, hipotireoidismo, doenças neurológicas.
No contexto odontológico, compreender essas causas auxilia no direcionamento terapêutico, especialmente na escolha de dispositivos intraorais ou encaminhamento para correção cirúrgica.

Quais os sintomas da apneia do sono?
A AOS pode apresentar sinais e sintomas como:
- Ronco alto e frequente
- Pausas respiratórias observadas por terceiros
- Sonolência diurna
- Cefaleias matinais
- Irritabilidade e dificuldade de concentração
- Boca seca ao acordar
- Desgaste dentário não explicado por hábitos diurnos
O dentista deve estar atento a esses indícios durante a anamnese e exame clínico, pois muitas vezes o paciente desconhece a gravidade do problema.

Como é feito o diagnóstico?
O diagnóstico envolve anamnese detalhada, exame físico intra e extraoral e exames complementares.
A polissonografia é o padrão-ouro para confirmar a presença e a gravidade dos distúrbios respiratórios do sono.
Questionários de triagem, como o STOP-BANG e o Epworth Sleepiness Scale, podem ser utilizados como ferramentas auxiliares no consultório odontológico para identificar pacientes com risco aumentado.

Como fazer uma higiene do sono?
A higiene do sono consiste em práticas que favorecem um descanso reparador. Entre elas:
- Manter horário regular para dormir e acordar
- Evitar cafeína, nicotina e álcool próximo ao horário de dormir
- Reduzir exposição a telas antes de deitar
- Criar ambiente silencioso, escuro e com temperatura agradável
- Evitar refeições pesadas à noite
O dentista pode orientar essas medidas como parte do plano de tratamento, especialmente para pacientes com bruxismo ou distúrbios respiratórios leves.

Como a odontologia pode tratar?
Tratamento ortocirúrgico
Indicado para casos com alterações anatômicas significativas, como retrognatismo ou maxila estreita.
O avanço maxilomandibular é um procedimento eficaz para ampliar as vias aéreas superiores e reduzir eventos de apneia. Geralmente, é realizado em conjunto com ortodontia.

Tratamento do bruxismo
Envolve confecção de placas oclusais para proteção dentária, acompanhamento da função muscular e investigação de causas secundárias.
Quando relacionado a distúrbios respiratórios do sono, a abordagem deve ser integrada, tratando também a causa primária.

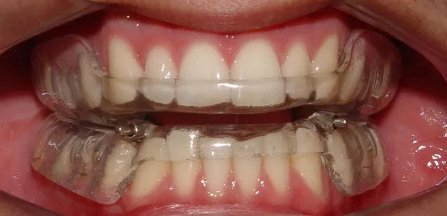
Tratamento com aparelho intraoral
Aparelhos de avanço mandibular (AAM) são dispositivos ajustáveis que projetam a mandíbula e a língua para frente, ampliando o espaço aéreo e reduzindo colapsos durante o sono.
São indicados para AOS leve e moderada, além de ronco primário.

O que é polissonografia?
A polissonografia é um exame de monitoramento do sono realizado em laboratório ou domiciliar. Mede parâmetros como fluxo aéreo, esforço respiratório, oxigenação sanguínea, atividade muscular e movimentos oculares. Para o dentista, o laudo polissonográfico é fundamental para confirmar o diagnóstico e acompanhar a eficácia do tratamento.

Conclusão
A odontologia do sono amplia o escopo de atuação do cirurgião-dentista, permitindo identificar, prevenir e tratar distúrbios que impactam diretamente a saúde oral e sistêmica do paciente.
Ao dominar protocolos diagnósticos, compreender as opções terapêuticas e trabalhar de forma integrada com outros profissionais, o dentista contribui para melhorar a qualidade de vida de seus pacientes e se posiciona em um nicho em expansão.
Referências:
https://cro-df.org.br/pdf/ebook_odontologia_do_sono.pdf
https://blog.suryadental.com.br/o-que-e-polissonografia-entenda-como-funciona-e-mais
https://institutodosono.com/artigos-noticias/odontologia-do-sono-o-que-e-e-o-que-pode-tratar
https://www.clinicadavilla.com.br/odontologia/odontologia-do-sono/
*O texto acima não foi escrito por cirurgião dentista, portanto a EAP não se responsabiliza pelas informações, uma vez que não possuem caráter científico.