A saúde bucal é fundamental para o bem-estar das pessoas, mas nem sempre damos a atenção devida à prevenção de problemas comuns, como a placa bacteriana.
Esse inimigo invisível pode parecer inofensivo à primeira vista, mas, se não tratado adequadamente, pode levar a complicações mais sérias, como cáries, gengivite e até mesmo perda dentária.
Além disso, com as informações corretas, é possível implementar medidas preventivas eficazes, garantindo não só a saúde bucal, mas também a autoconfiança que um sorriso bonito proporciona.
Neste artigo, explicaremos o que é a placa bacteriana, como ela é formada, suas causas, sintomas, formas de prevenção e tratamentos, para quem deseja manter um sorriso saudável e evitar problemas odontológicos no futuro.
Também vamos esclarecer a diferença entre placa bacteriana e tártaro, ajudando a identificar cada uma dessas condições. Continue lendo e descubra como cuidar melhor dos seus dentes e gengivas.

Sumário
- O que é a placa bacteriana?
- Como a placa é formada?
- Quais as causas da placa bacteriana?
- Quais os sintomas da placa bacteriana?
- Como prevenir a placa bacteriana?
- Como remover placa bacteriana?
- Qual a diferença entre placa bacteriana e tártaro?
O que é a placa bacteriana?
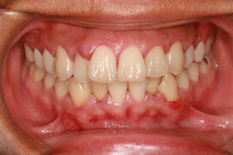
A placa bacteriana é uma fina camada pegajosa composta por bactérias, restos de alimentos e saliva que se forma constantemente na superfície dos dentes.
Embora seja natural o acúmulo de bactérias na boca, a falta de higienização adequada permite que elas se multipliquem e formem essa camada, que é invisível a olho nu.
Quando não é removida regularmente, a placa bacteriana pode endurecer e se transformar em tártaro, uma substância mais difícil de eliminar.
Esse processo aumenta o risco de complicações, como gengivite e periodontite, podendo afetar não apenas os dentes, mas também os ossos que os sustentam.

Como a placa é formada?
A formação da placa bacteriana ocorre em etapas. Inicialmente, as bactérias naturalmente presentes na boca aderem à superfície dos dentes.
Esses microrganismos se alimentam dos restos de alimentos, especialmente aqueles ricos em carboidratos, como açúcares e amidos.
Com o tempo, as bactérias produzem ácidos que desgastam o esmalte dental e irritam as gengivas.
Se essa camada não for removida por meio de escovação e uso do fio dental, ela se mineraliza, formando o tártaro, que exige intervenção profissional para ser eliminado.

Quais as causas da placa bacteriana?
Diversos fatores contribuem para o surgimento da placa bacteriana. Vamos conhecer os principais:
Higiene bucal inadequada
A principal causa da placa bacteriana é a falta de uma rotina de higiene bucal eficiente. Escovar os dentes de maneira rápida e/ou não fazer o uso do fio dental permite o acúmulo de restos alimentares, que causa concentração de bactérias se aliemntando desses restos, formando a placa.

Consumo excessivo de açúcar
Alimentos ricos em açúcares e carboidratos simples são o principal combustível para as bactérias causadoras da placa.
Doces, refrigerantes, massas e pães, quando consumidos em excesso e sem a devida higienização, aceleram o processo de formação da camada bacteriana.

Tabagismo
Sabia que o uso do tabaco contribui significativamente para a formação da placa bacteriana?
Além de reduzir o fluxo salivar, o cigarro enfraquece as gengivas e dificulta a remoção de bactérias, agravando os problemas bucais.

Produção insuficiente de saliva
A saliva desempenha um papel fundamental na limpeza natural da boca, ajudando a neutralizar os ácidos produzidos pelas bactérias. Quando há pouca saliva, seja por estresse, uso de determinados medicamentos, xerostomia, etc., o risco de formação de placa aumenta.
Por isso, se hidrate bem, e se mesmo assim continuar com a boca seca, é preciso investigar a causa. Fizemos uma publicação sobre boca seca para você entender melhor do assunto.

Dieta com poucos nutrientes
Uma dieta desequilibrada, pobre em vitaminas e minerais, pode enfraquecer os dentes e as gengivas, tornando-os mais suscetíveis aos efeitos nocivos da placa bacteriana.
Também é importante observar que os alimentos ricos em fibras e nutrientes auxiliam na manutenção da saúde bucal.

Condições médicas
Doenças como diabete, bem como o uso de medicamentos específicos, podem alterar o equilíbrio natural da boca e favorecer o acúmulo de placa bacteriana. Pois alteram o equilíbrio da microbiota bucal e dificultam a resposta inflamatória adequada.

Quais os sintomas da placa bacteriana?
Identificar os sintomas da placa bacteriana é essencial para buscar tratamento precoce. Os sinais mais comuns incluem:
Inchaço nas gengivas
O acúmulo de placa pode causar inflamação gengival, levando ao inchaço, vermelhidão e até mesmo sangramento. Esse é um dos primeiros sinais de gengivite.

Sensibilidade nos dentes
O desgaste do esmalte dental provocado pelos ácidos produzidos pela placa pode causar sensibilidade ao consumir alimentos quentes, frios ou doces.

Cáries
As cáries são consequências diretas da ação das bactérias presentes na placa, que corroem o esmalte dental e formam cavidades nos dentes.

Aparecimento de tártaro
Quando a placa não é removida, ela endurece e se transforma em tártaro, uma camada visível que geralmente se acumula na base dos dentes e gengivas. Para remover é preciso fazer uma limpeza no dentista.

Mau hálito persistente
A presença de bactérias na boca é uma das principais causas do mau hálito. Quando a placa bacteriana se acumula, o problema pode se tornar crônico.
Se você tem um mau hálito que não vai embora, pode ser por causa das placas bacterianas, ou também por causa do estômago, venha ver essa matéria que fizemos falando da diferença.

Como prevenir a placa bacteriana?
A prevenção da placa bacteriana exige uma rotina consistente de cuidados bucais. Nesse sentido, escovar os dentes pelo menos duas vezes ao dia com uma pasta de dente que contenha flúor, usar fio dental diariamente e visitar o dentista regularmente, são medidas fundamentais.
Ademais, adotar uma dieta balanceada e limitar o consumo de alimentos ricos em açúcares também ajuda a reduzir a formação de placa.
Por sua vez, evitar o tabagismo e manter-se hidratado para estimular a produção de saliva são outras formas eficazes de prevenção.

Como remover placa bacteriana?
Quando a placa bacteriana já está presente, é necessário realizar uma limpeza profissional com um dentista para remover a camada acumulada.
Esse procedimento geralmente inclui a raspagem e o polimento dos dentes, que ajudam a restaurar a saúde bucal.
Em casos de gengivite ou complicações mais sérias, os tratamentos para placa bacteriana podem precisar ser mais profundos, como a raspagem subgengival. Também é muito importante ressaltar que seguir as orientações do dentista e melhorar a higiene bucal em casa são passos imprescindíveis para evitar a reincidência.

Qual a diferença entre placa bacteriana e tártaro?
Embora muitas pessoas confundam os dois termos, placa bacteriana e tártaro não são a mesma condição. A placa é uma camada macia e invisível que pode ser removida com escovação e fio dental.
Já o tártaro é o resultado da mineralização da placa, formando uma camada dura e visível que só pode ser retirada por um profissional.
Enquanto a prevenção da placa é feita em casa, o tratamento do tártaro exige intervenção especializada. Por isso, é importante agir rapidamente ao perceber os primeiros sinais de acúmulo.
A placa bacteriana é um problema comum, mas que pode ser evitado e tratado com medidas simples e eficazes.
Entender suas causas, sintomas e formas de prevenção é de fundamental importância para manter a saúde bucal em dia e evitar complicações futuras.

Para quem deseja se especializar em odontologia e aprender mais sobre cuidados bucais, a EAP Goiás é a melhor escolha.
Com uma estrutura de ensino de excelência, tecnologia de ponta e professores altamente qualificados, oferecemos cursos que preparam você para se destacar no mercado.
Invista no seu futuro e venha fazer parte da EAP Goiás! Conheça os nossos cursos.
Referências:
https://ianarapinho.odo.br/placa-bacteriana
https://www.oraldente.com.br/placa-bacteriana-o-que-e-e-como-se-forma/
https://www.colgate.com.br/oral-health/plaque-and-tartar/what-is-plaque
https://dabiatlante.com.br/blog/placa-bacteriana/
*O texto acima não foi escrito por cirurgião dentista, portanto a EAP não se responsabiliza pelas informações, uma vez que não possuem caráter científico.