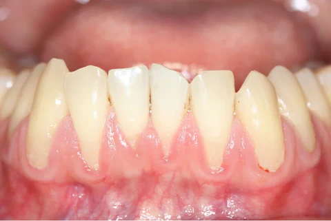
A saúde bucal é uma preocupação constante para os profissionais da odontologia, e entre os diversos problemas que podem surgir, a retração gengival é bastante incômodo.
Não apenas causa desconforto e sensibilidade, mas também pode afetar a estética do sorriso dos pacientes.
Neste artigo, vamos explorar o recobrimento radicular, um tratamento eficaz para a retração gengival, abordando suas causas, quando é necessário e como é realizado.
Vamos mergulhar nos detalhes para fornecer informações valiosas e surpreendentes para você, profissional da odontologia.

O que é recobrimento radicular?
O recobrimento radicular é um procedimento cirúrgico periodontal destinado a cobrir a superfície radicular exposta devido à retração gengival.
A retração gengival pode resultar de diversos fatores, como a higiene oral inadequada, escovação excessivamente vigorosa, doenças periodontais, tratamentos ortodônticos, tabagismo, ou mesmo predisposição genética.
Esse procedimento melhora a estética do sorriso, enquanto protege a raiz do dente contra a cárie e reduz a sensibilidade dentária.

O que a gengiva retraída causa?
A gengiva retraída pode ter diversas implicações para a saúde bucal do paciente, desde a exposição da raiz do dente até problemas estéticos significativos.
Exposição da raiz ao meio bucal
Quando a gengiva recua, a raiz do dente, que não é protegida pelo esmalte como a coroa do dente, fica exposta ao meio bucal.
Isso a torna mais vulnerável a cáries radiculares e à abrasão devido à escovação.
A exposição da raiz também pode levar à sensibilidade extrema a alimentos e bebidas quentes, frias ou doces.

Hipersensibilidade
A sensibilidade dentária é uma queixa comum entre pacientes com retração gengival.
Isso ocorre porque a raiz exposta do dente contém túbulos dentinários que se conectam diretamente aos nervos internos do dente, transmitindo dor e desconforto quando estimulados por temperaturas extremas ou alimentos ácidos e doces.
Estética comprometida
A retração gengival pode causar uma aparência de “dentes alongados” ou “dentes expostos”, o que compromete a estética do sorriso.
Para muitos pacientes, a preocupação com a aparência pode ser tão significativa quanto os problemas de saúde bucal, motivando-os a buscar tratamento.

Quando é necessário fazer a cirurgia de recobrimento radicular?
A decisão de realizar a cirurgia de recobrimento radicular deve ser baseada em uma avaliação clínica detalhada e nas necessidades do paciente.
Indicações típicas para o recobrimento radicular incluem:
- Sensibilidade dentária significativa: Quando a exposição da raiz causa dor ou desconforto constante.
- Preocupações estéticas: Pacientes insatisfeitos com a aparência de seu sorriso devido à retração gengival.
- Prevenção de cáries: Para proteger a raiz do dente de cáries radiculares e outras lesões.
- Melhoria da saúde periodontal: Em casos onde a retração gengival está associada a doenças periodontais que precisam ser controladas.

Como é feita a cirurgia para retração gengival?
A cirurgia de recobrimento radicular envolve várias técnicas, todas com o objetivo de cobrir a raiz exposta e restaurar a linha gengival.
1. Enxerto Gengival Livre:
Esta técnica envolve a remoção de um pequeno pedaço de tecido gengival do palato do paciente, que é então transplantado para a área com retração gengival.
Este método é eficaz, mas pode causar desconforto no local doador.
2. Enxerto Subepitelial de Tecido Conjuntivo:
Considerada a técnica padrão-ouro, esta abordagem utiliza o tecido conjuntivo subepitelial do palato para cobrir a raiz exposta.
É preferida por causar menos dor no local doador e por seus excelentes resultados estéticos.
3. Técnica de Tunelização:
Nesta técnica, um túnel é criado sob a gengiva retraída, permitindo a inserção do enxerto sem incisões adicionais.
Isso minimiza o trauma tecidual e melhora a cicatrização.
4. Membranas Reabsorvíveis:
Utilizadas para guiar a regeneração do tecido gengival, essas membranas proporcionam suporte enquanto o tecido natural do paciente cresce e cobre a raiz exposta.

Benefícios do Recobrimento Radicular
O recobrimento radicular oferece diversos benefícios, não apenas para a saúde bucal, mas também para a estética e o conforto do paciente.
Melhoria na Estética do Sorriso
Um dos principais benefícios do recobrimento radicular é a restauração da aparência natural da linha gengival.
Isso pode aumentar significativamente a confiança do paciente em seu sorriso, eliminando a aparência de dentes excessivamente longos ou expostos.

Redução da Sensibilidade Dentária
Ao cobrir a raiz exposta, o recobrimento radicular reduz a sensibilidade dentária, permitindo que os pacientes consumam alimentos e bebidas quentes, frias ou doces sem dor.
Isso melhora a qualidade de vida e elimina o desconforto associado à raiz do dente exposta.
Proteção Contra a Cárie Radicular
Cobrir a raiz do dente exposta ajuda a proteger contra a cárie radicular, que pode ser difícil de tratar e levar à perda dentária se não for controlada.
O recobrimento radicular proporciona uma barreira contra os agentes causadores de cárie, promovendo a saúde bucal a longo prazo.

Cuidados e Manutenção Após a Cirurgia
Após a cirurgia de recobrimento radicular, é crucial seguir as recomendações pós-operatórias para garantir uma recuperação bem-sucedida e manter os resultados obtidos.
– Higiene oral adequada: Evitar escovar a área tratada imediatamente após a cirurgia e seguir as orientações do dentista quanto à escovação e ao uso do fio dental.
– Uso de antissépticos bucais: Enxaguantes bucais antimicrobianos podem ser recomendados para prevenir infecções durante a fase inicial de cicatrização.
– Evitar alimentos duros ou crocantes: Consumir alimentos macios e evitar mastigar na área tratada até que a cicatrização esteja completa.
– Monitoramento regular: Consultas de acompanhamento com o dentista são essenciais para monitorar a cicatrização e assegurar que a gengiva esteja se recuperando conforme esperado.

Conclusão
O recobrimento radicular é um procedimento essencial para tratar a gengiva exposta, oferecendo múltiplos benefícios, desde a melhoria estética até a proteção contra cáries e a redução da sensibilidade dentária.
Para os profissionais da odontologia, compreender as técnicas e indicações deste tratamento é fundamental para proporcionar o melhor cuidado possível aos pacientes.
A EAP-Goiás, com mais de 40 anos de tradição e excelência no ensino odontológico, oferece cursos de especialização que capacitam os profissionais para realizar procedimentos avançados como o recobrimento radicular.
Conheça mais sobre os cursos oferecidos e como a EAP-Goiás pode contribuir para seu desenvolvimento profissional e pessoal. Não perca a oportunidade de se especializar com quem entende de odontologia.
Visite nosso site e descubra todos os cursos de especialização oferecidos pela EAP-Goiás.
Transforme sua carreira e a saúde bucal de seus pacientes com o apoio de uma instituição de renome!
Referências:
https://blog.odontocompany.com/o-que-e-recobrimento-radicular-entenda-como-funciona
https://www.ciottiodontologia.com.br/blog/recobrimento-radicular/
https://aquarelaorto.com.br/tratamentos/recobrimento-radicular/
https://www.codental.com.br/blog/raiz-do-dente-exposta-saiba-tudo-sobre
https://clinicaorthos.com.br/entenda-a-como-funciona-a-cirurgia-plastica-gengival/
*O texto acima não foi escrito por cirurgião dentista, portanto a EAP não se responsabiliza pelas informações, uma vez que não possuem caráter científico.