Na busca por um sorriso saudável e bonito, a odontologia moderna oferece diversas opções de tratamento que proporcionam resultados cada vez mais satisfatórios.
Entre essas opções, destaca-se a resina dentária, um material versátil e eficaz que se tornou fundamental na reabilitação estética e funcional dos dentes.
Com suas múltiplas aplicações, como restaurações, correção de fraturas e facetas estéticas, a resina conquistou espaço na prática odontológica, oferecendo resultados estéticos e naturais.
Composta por polímeros que reagem ao fotopolimerizador, a resina é capaz de reproduzir a cor e a textura dos dentes naturais, proporcionando um sorriso harmonioso e atraente.
Neste artigo, vamos explorar mais sobre a resina dentária, suas aplicações, vantagens e cuidados necessários, para que você possa entender melhor esse importante recurso da odontologia moderna.

O que é resina dentária?
A resina dentária é um material composto por uma mistura de polímeros e cargas, que pode ser moldado e endurecido para restaurar dentes danificados, corrigir problemas estéticos e até mesmo melhorar a função mastigatória.
Essa composição permite que a resina seja aplicada de forma versátil, adaptando-se às necessidades específicas de cada paciente e proporcionando resultados estéticos e funcionais satisfatórios.
Dessa forma, a resina permite a obtenção de restaurações que se integram de forma natural ao sorriso do paciente, proporcionando um resultado estético compassado.
Além disso, a resina apresenta uma excelente adesão ao esmalte dentário, o que contribui para a durabilidade e estabilidade das restaurações ao longo do tempo.

Como escolher a resina dental ideal para a restauração dentária?
Escolher a resina dental ideal para a restauração dentária envolve considerar diversos aspectos importantes.
Entre os principais fatores a serem avaliados estão a cor do dente do paciente, a localização da restauração e a resistência necessária para suportar as forças de mastigação.
Contudo, é fundamental levar em conta as características específicas de cada tipo de resina disponível no mercado, a fim de garantir um resultado satisfatório e funcional.
Resinas compostas
As resinas compostas são um tipo de material utilizado em procedimentos odontológicos restauradores.
Elas são compostas por uma matriz orgânica e cargas inorgânicas, o que lhes confere resistência e durabilidade.
A escolha da resina composta ideal para cada caso é baseada em diversos fatores, como a cor do dente a ser restaurado, a resistência necessária para a restauração e a facilidade de manipulação do material durante o procedimento.
Essas características garantem que a resina composta se adapte às necessidades específicas de cada paciente, proporcionando um resultado estético e funcional satisfatório.

Resinas híbridas
As resinas híbridas são um tipo de material utilizado em procedimentos odontológicos restauradores que apresentam características tanto das resinas compostas quanto das resinas de ionômero de vidro.
Elas são compostas por uma combinação de diferentes componentes que proporcionam uma boa resistência mecânica, sem deixar de lado a estética.
Essa característica intermediária faz das resinas híbridas uma opção versátil, especialmente em casos onde é necessário equilibrar a durabilidade da restauração com a sua aparência natural.
Por exemplo, em restaurações de dentes posteriores, onde a resistência à compressão e ao desgaste é fundamental, as resinas híbridas podem oferecer uma excelente opção.
Resinas Bulk-Fill
As resinas Bulk-Fill são uma escolha eficiente para restaurações de grandes cavidades.
Isso porque esses materiais permitem a aplicação em camadas mais espessas, o que reduz significativamente o tempo de trabalho.
Essa característica não só facilita o procedimento, mas também aumenta a produtividade no consultório, permitindo que mais procedimentos sejam realizados em menos tempo.
A escolha da resina ideal deve ser feita considerando as características individuais do paciente e as necessidades específicas de cada restauração.

Resinas de baixa concentração de polimerização
As resinas de baixa concentração de polimerização são uma escolha ideal para procedimentos que demandam um tempo de trabalho mais longo.
Isso porque esses materiais permitem moldar e esculpir o material com maior facilidade, sem a pressão do tempo.
Essa característica é especialmente vantajosa em restaurações complexas ou em áreas de difícil acesso, onde o profissional precisa de mais tempo para obter um resultado preciso e estético.
Ademais, essas resinas são desenvolvidas com o objetivo de minimizar a contração do polímero durante o processo de polimerização, o que ajuda a reduzir a tensão estrutural nos dentes, prevenindo micro infiltrações marginais e sensibilidade pós-operatória nos pacientes.
Devido a essas características, as resinas de baixa concentração de polimerização são especialmente indicadas para restaurações de cavidades profundas, oferecendo uma solução eficaz e conveniente para uma variedade de procedimentos restauradores.
Quando é utilizada a resina nos dentes?
A resina dental é utilizada em uma variedade de procedimentos odontológicos, incluindo restaurações, facetas, correção de cor e até mesmo no tratamento do bruxismo.
Sua versatilidade e capacidade de mimetizar a cor e a textura dos dentes naturais a tornam um material indispensável na prática clínica.
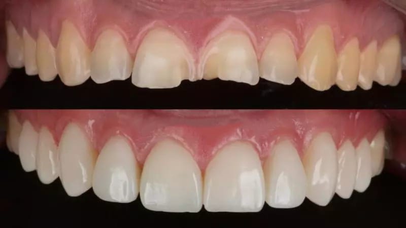
Restauração dentária
Na restauração dentária, a resina dental é utilizada para reconstruir a estrutura do dente danificado, restaurando sua forma, função e estética.
Ela pode ser aplicada em cavidades resultantes de cárie, fraturas ou desgastes, proporcionando um resultado durável e esteticamente agradável.

Bruxismo
O bruxismo é uma condição caracterizada pelo gesto de ranger ou apertar os dentes, o que pode levar ao desgaste da estrutura dental.
Essa condição pode causar problemas mecânicos e afetar a estética do sorriso.
A resina também pode ser uma aliada no tratamento do bruxismo, sendo utilizada para recuperar a forma e a função original dos dentes em casos de pequenas fraturas.
Essas fraturas podem ser causadas tanto pelo bruxismo quanto por impacto físico, e a resina é capaz de restaurar a integridade dos dentes, garantindo um sorriso saudável e esteticamente agradável.
Correção de cor
A correção de cor é outra aplicação importante da resina dental.
Muitas vezes, a resina é utilizada para cobrir manchas e descolorações nos dentes, proporcionando um sorriso mais branco e uniforme.
Esse procedimento é especialmente útil para pacientes que desejam melhorar a estética de seu sorriso sem recorrer a tratamentos mais invasivos.
A resina pode ser moldada e aplicada de forma a corrigir imperfeições na cor dos dentes, resultando em um sorriso mais bonito e confiante.

Facetas
As facetas de resina são uma opção minimamente invasiva e altamente eficaz para melhorar a estética do sorriso.
Essas facetas são finas camadas de resina aplicadas na superfície frontal dos dentes para corrigir uma variedade de imperfeições.
Entre os problemas que podem ser corrigidos com facetas de resina estão irregularidades na superfície dos dentes, espaços mínimos entre os dentes, pequenas fraturas e até mesmo manchas ou descolorações.
O procedimento para aplicação de facetas de resina é relativamente simples e indolor, e pode ser realizado em apenas uma ou duas consultas.
Quais as vantagens da resina dentária?
1. Estética:
A resina dental pode ser facilmente manipulada para combinar com a cor e a textura dos dentes naturais, proporcionando um resultado estético superior.
2. Conservação da estrutura dental:
Ao contrário de outras opções de restauração, como coroas ou pontes, que exigem a remoção de uma parte significativa da estrutura dental, a resina dental preserva mais a estrutura original do dente.

3. Menos invasiva:
Os procedimentos com resina dental geralmente requerem menos remoção de tecido dental saudável, tornando-os menos invasivos e mais conservadores.
4. Durabilidade:
Quando bem cuidada, a resina dental pode durar por muitos anos, oferecendo uma restauração duradoura e eficaz.
5. Facilidade de reparo:
Em caso de danos ou desgaste, a resina dental pode ser facilmente reparada ou substituída pelo dentista.

Quais as desvantagens da resina?
1. Durabilidade limitada:
Apesar de durável, a resina dental pode não ser tão resistente quanto outros materiais, como o metal ou cerâmica, e pode precisar de reparos ou substituições ao longo do tempo.
2. Sensibilidade:
Alguns pacientes podem experimentar sensibilidade nos dentes após o procedimento com resina dental, especialmente nas primeiras semanas após a aplicação.

3. Susceptibilidade a manchas:
A resina dental pode manchar com o tempo, especialmente se o paciente consumir alimentos ou bebidas pigmentadas regularmente, como café, chá ou vinho tinto.
4. Restrições alimentares:
Logo após o procedimento, pode ser recomendável evitar alimentos duros ou pegajosos que possam danificar a resina dental.
5. Custo:
Em comparação com algumas opções de restauração mais tradicionais, como amálgama ou metal, a resina dental pode ter um custo inicial mais elevado.

Quais são os cuidados após aplicar resina nos dentes?
Após a aplicação de resina nos dentes, é importante que o paciente siga algumas recomendações para manter a resina dental com sua cor original e garantir sua durabilidade. Alguns cuidados importantes incluem:
- Reduzir o consumo de alimentos e bebidas com pigmentos fortes, como café, chá e vinho, que podem causar manchas na resina;
- Evitar o tabagismo, pois fumar pode contribuir para o amarelamento da resina;
- Eliminar hábitos como roer unhas e morder objetos duros, como canetas, para evitar danos à resina;
- Tratar o bruxismo antes de realizar a aplicação da resina, pois essa condição pode comprometer a durabilidade do material;
- Utilizar escovas de dentes macias e evitar escovação excessivamente vigorosa para não desgastar a resina.
Essas precauções, quando combinadas com uma rotina de higiene bucal adequada, ajudam a manter a resina dental em boas condições por mais tempo.

Conclusão
A resina dentária é um material versátil e eficiente, amplamente utilizado na odontologia moderna.
Com suas diversas aplicações e benefícios, a resina dentária se tornou uma escolha popular entre os cirurgiões-dentistas e seus pacientes.
Se você é um profissional em busca de atualização e conhecimento, é fundamental entender as características e aplicações da resina dentária.
Esperamos que este artigo tenha sido útil e informativo, e que possa contribuir para o seu sucesso profissional.
Conheça os cursos de especialização oferecidos pela EAP Goiás e dê um passo à frente na sua carreira profissional. Clique aqui e saiba mais!
https://blog.odontocompany.com/resina-nos-dentes-quando-e-necessaria-e-quais-os-seus-beneficios
https://www.codental.com.br/blog/resina-dentaria-saiba-tudo-sobre-esse-material
https://blog.goldencross.com.br/resina-no-dente/
https://www.sousmile.com/blog/resina-no-dente
*O texto acima não foi escrito por cirurgião dentista, portanto a EAP não se responsabiliza pelas informações, uma vez que não possuem caráter científico.