Imagine um paciente chegando ao consultório odontológico após sofrer um impacto direto no rosto, relatando dor e apresentando alterações visíveis nos dentes.
Como profissional da odontologia, você já sabe que o tempo e a abordagem correta fazem toda a diferença para preservar a saúde bucal. É aqui que o conhecimento aprofundado sobre traumatismos dentários se torna indispensável.
O traumatismo dental está entre os problemas mais urgentes na prática clínica e afetam pacientes de todas as idades, com especial incidência em crianças e jovens.
Neste artigo, exploraremos os tipos de traumatismos dentários, suas características e como um atendimento bem direcionado pode ser essencial para o prognóstico.

Sumário
- Quais as causas mais comuns para acontecer o traumatismo dental?
- Como devo acondicionar o dente que caiu para levá-lo até o dentista?
- Qual a probabilidade de acontecer em crianças?
- Tipos de traumatismos dentários
- Conclusão
- Referências:
Quais as causas mais comuns para acontecer o traumatismo dental?
Os traumatismos dentários podem ser causados por uma variedade de situações, como quedas, acidentes automobilísticos, prática esportiva sem o uso de protetores bucais, brigas e até mesmo hábitos diários inadequados.
Em crianças, quedas durante brincadeiras são uma causa frequente, enquanto nos adultos, acidentes de trânsito e esportes de contato são predominantes.
Esses eventos podem ocasionar diferentes tipos de danos, desde alterações no suporte periodontal até fraturas complexas.
A avaliação rápida e precisa é fundamental para determinar o curso do tratamento.

Como devo acondicionar o dente que caiu para levá-lo até o dentista?
Em casos de avulsão dentária, a conduta no momento do acidente influencia diretamente a chance de sucesso do reimplante.
O ideal é segurar o dente pela coroa (evitando tocar na raiz), lavá-lo suavemente com soro fisiológico ou água corrente, e armazená-lo em um meio adequado como leite, saliva ou solução salina.
Essas soluções ajudam a preservar as fibras do ligamento periodontal, essenciais para o reimplante.
Transportar o dente em um recipiente limpo e procurar atendimento odontológico imediato são passos cruciais para aumentar a probabilidade de sucesso.

Qual a probabilidade de acontecer em crianças?
Os traumatismos dentários são comuns na infância, especialmente entre os 2 e 4 anos, quando as crianças começam a explorar o ambiente e estão mais sujeitas a quedas.
Outra fase de risco ocorre entre os 7 e 10 anos, com o aumento da prática de esportes e atividades ao ar livre.
Além disso, a protrusão dos dentes anteriores (overjet aumentado) é um fator predisponente, já que esses dentes ficam mais expostos a impactos.
Para os profissionais da odontologia, a prevenção, por meio de protetores bucais e orientação parental, é uma estratégia fundamental.

Tipos de traumatismos dentários
Os traumatismos dentários apresentam uma variedade de manifestações clínicas, desde alterações sutis até danos graves que envolvem múltiplas estruturas do aparelho bucal.
Cada tipo de trauma demanda uma abordagem terapêutica específica e criteriosa, com foco no restabelecimento funcional e estético do paciente.
Concussão dentária
A concussão é caracterizada por um impacto direto no dente sem deslocamento ou mobilidade perceptível.
Os pacientes frequentemente relatam dor ao toque ou à mastigação, mas não há alterações visíveis na posição do dente ou nos tecidos adjacentes.
Apesar de aparentemente leve, a concussão requer monitoramento.
Radiografias periapicais podem ser realizadas para avaliar a condição da raiz e do ligamento periodontal.
Alterações tardias, como necrose pulpar, podem ocorrer, sendo importante reavaliar periodicamente o dente envolvido.

Subluxação dentária
Neste tipo de trauma, o dente apresenta mobilidade aumentada, mas sem deslocamento significativo.
É comum observar sangramento no sulco gengival, o que indica comprometimento do ligamento periodontal.
O tratamento da subluxação inclui:
- Contenção flexível temporária, para estabilizar o dente afetado;
- Cuidados com a higiene bucal, para prevenir infecções secundárias no local do trauma;
- Acompanhamento clínico e radiográfico, para identificar alterações como reabsorção radicular ou necrose pulpar.
Luxações
As luxações correspondem ao deslocamento do dente em relação à sua posição original no alvéolo e são divididas em três tipos principais:
- Intrusiva: O dente é deslocado para dentro do alvéolo, comprimindo as estruturas circundantes. Este tipo de luxação tem alto risco de necrose pulpar e reabsorção radicular. O tratamento pode incluir reposicionamento cirúrgico ou ortodôntico, dependendo da gravidade e da idade do paciente.
- Extrusiva: O dente é parcialmente deslocado para fora do alvéolo, mas mantém alguma conexão com os tecidos de suporte. O reposicionamento manual imediato, seguido de contenção, é essencial.
- Lateral: O deslocamento ocorre lateralmente, geralmente associado as fraturas do osso alveolar. O manejo envolve reposicionamento cuidadoso e contenção rígida para promover a estabilização e permitir a cicatrização óssea e periodontal.

Avulsão
A avulsão, caracterizada pela completa saída do dente do alvéolo, é uma emergência odontológica.
Este tipo de trauma é mais comum em dentes anteriores permanentes, especialmente em crianças e adolescentes.
O sucesso do tratamento depende da rapidez do reimplante e do meio de conservação do dente.
Caso o reimplante seja realizado em até 30 minutos, as chances de sucesso são significativamente maiores.
Após o reimplante, a contenção e o acompanhamento radiográfico são fundamentais para monitorar a saúde periodontal e pulpar.
Fratura radicular
As fraturas radiculares podem ocorrer em diferentes níveis:
- Terço apical: Geralmente apresentam prognóstico favorável, com maior probabilidade de cicatrização espontânea.
- Terço médio e cervical: Demandam atenção especial, pois podem comprometer a estabilidade do dente.
Nos casos mais graves, a extração pode ser necessária. O diagnóstico é feito por meio de radiografias, sendo o tratamento orientado pela localização e extensão da fratura.

Fratura alveolar
As fraturas do osso alveolar frequentemente acompanham outros tipos de traumas, como luxações e avulsões.
Esse tipo de fratura é caracterizado pelo deslocamento de fragmentos ósseos, podendo envolver múltiplos dentes.
O manejo inicial inclui reposicionamento cirúrgico e estabilização com contenção rígida.
O acompanhamento radiográfico é crucial para avaliar a regeneração óssea e identificar possíveis complicações, como infecções ou reabsorções.
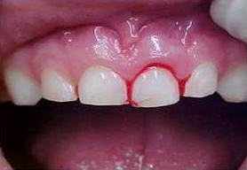
Fratura de esmalte e dentina
Este é um dos tipos mais frequentes de trauma dental e pode variar em gravidade:
- Fraturas simples: Envolvem apenas o esmalte, sendo tratadas com restaurações diretas.
- Fraturas complexas: Atingem a dentina e, em alguns casos, expõem a polpa. O tratamento pode incluir capeamento pulpar, terapia endodôntica e reconstrução estética.

Fratura Coronária
As fraturas coronárias acometem esmalte e dentina, com ou sem exposição pulpar.
Fraturas não complicadas são tratadas com restaurações diretas ou indiretas, enquanto as fraturas complicadas requerem tratamentos endodônticos antes da reconstrução.
A avaliação criteriosa com radiografias e tomografias computadorizadas pode auxiliar no planejamento do tratamento, garantindo melhor prognóstico para o paciente.
Conclusão
Cada tipo de traumatismo dental apresenta desafios específicos, mas o diagnóstico precoce e a abordagem técnica adequada são indispensáveis para preservar a função e a estética do dente.
Além disso, o manejo interdisciplinar é frequentemente necessário para casos mais complexos, integrando conhecimentos de odontologia restauradora, endodontia, periodontia e cirurgia.
A EAP-Goiás, referência em educação odontológica, oferece cursos de especialização que capacitam profissionais a lidar com situações complexas como essas.
Invista no seu conhecimento e eleve sua prática clínica. Conheça os cursos da EAP-Goiás e esteja preparado para os desafios da odontologia moderna!
O que você achou do conteúdo sobre traumatismo dental? Deixe sua opinião nos comentários!
Referências:
https://www.vitaeodontologia.com.br/blog/saiba-como-evitar-traumatismo-dentario
https://rrmedicina.com.br/traumatismos-dentarios-quais-sao-os-tipos-e-o-que-fazer
https://dentistalegal.com.br/tipos_traumatismo_dental_batida_dente_quebrado/
*O texto acima não foi escrito por cirurgião dentista, portanto a EAP não se responsabiliza pelas informações, uma vez que não possuem caráter científico.