A restauração dentária é um procedimento bastante comum pelo qual a maioria das pessoas já passou.
Além de ser simples e indolor, é uma forma de corrigir problemas relacionados tanto à estética quanto à saúde bucal.
Para isso, uma série de técnicas e materiais podem ser empregados a depender do caso do paciente.
É importante que o procedimento seja realizado de forma adequada para que não haja problemas futuros.
Neste artigo vamos esclarecer tudo sobre a restauração dentária. Se você deseja conhecer mais sobre esse assunto, continue lendo!
Leia mais: Dente de porcelana: entenda o que é e suas vantagens

Sumário
- O que é restauração dentária?
- Quais são os tipos de restauração dentária?
- Em que casos fazer restauração dental?
- Para Dentistas: Onde fazer aperfeiçoamento em resinas?
O que é restauração dentária?
A restauração, também chamada de dentística restauradora, é o tratamento recomendado para quando o dente é danificado na sua estrutura.
Temos como exemplo, as ocasiões em que a pessoa quebra ou lasca um dente ou quando está danificado por conta das cáries ou outro problema de saúde bucal.
Nestes casos, podemos dizer que a restauração é a reconstrução de um dente danificado com a finalidade de recompor as funções mastigatórias e a estética do sorriso da pessoa.
Os materiais mais usados são a resina composta, porcelana, amálgama ou ouro. Os dois primeiros são da mesma cor do dente.
A maior parte das restaurações é feita no consultório diretamente na boca do paciente, mas em casos que o dano é muito grande, pode ser necessário confeccionar uma peça e encaixar no dente.

Por que é importante restaurar os dentes?
Um dente deteriorado é, além de um incômodo estético, muito prejudicial para a saúde do paciente, já que a função mastigatória é fundamental, além de outras questões bucais, para o funcionamento do sistema digestivo.
Dessa forma, é importante fazer a restauração para eliminar cáries ou após a sua retirada para recompor o dente e evitar nova incidência.
Além disso, pode ser recomendada para recuperar o formato dos dentes, melhorando a aparência e para evitar dores de dente.

Qual é a diferença entre restauração e obturação?
Tanto a restauração quanto a obturação têm como objetivo preencher espaços nos dentes que foram criados por cáries ou traumas.
São processos semelhantes que se utilizam de algum tipo de material (resina ou amálgama) para eliminar essas cavidades configurando o formato do dente.
O amálgama tem coloração prateada e é feito de uma mistura de mercúrio, prata, cobre, estanho e algumas vezes zinco. Este material foi o mais usado até pouco tempo atrás nas obturações, no entanto, está sendo gradativamente sendo substituído.
Isso porque a ideia da restauração traz a possibilidade de recuperar o dente (tal qual o amálgama faz), mas com um material que se assemelha aos dentes (resina ou porcelana), de forma que o resultado confere maior beleza e naturalidade ao sorriso.

Restauração de dente dura quanto tempo?
A restauração dentária pode durar de 3 até 10 anos. Depende de fatores como cuidados do paciente (não consumir muita cafeína e nicotina; ter boa higiene bucal), tipo de material usado e sua qualidade, a manutenção, e até mesmo o tamanho e a localização da restauração.

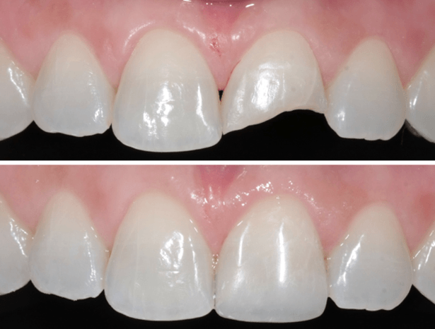
(Reprodução/RubiOdonto)
Quais são os tipos de restauração dentária?
Vamos nos ater aos dois tipos de restauração que usam materiais que se assemelham aos dentes do paciente.
Restauração de porcelana
Este tipo de restauração é o que mais se aproxima do aspecto real do dente humano.
Imagine que você precisa restaurar um dente da frente, por exemplo, será necessário fazê-lo da forma mais discreta e sem sinais de intervenção, para garantir que o sorriso seja preservado.
No entanto, ela pode ser aplicada em qualquer dente, porque nos dentes posteriores também é interessante esteticamente que a restauração fique semelhante ao dente original.
Essa necessidade se potencializa quando o paciente busca este procedimento a fim de resolver problemas estéticos, o que necessita de uma coloração adequada para garantir a naturalidade.
Para garantir esse nível de perfeição, em que o reparo não fica visível, há um custo mais elevado. Pode ser necessário fazer um molde e enviar a um laboratório para que a restauração seja confeccionada e fixada no dente posteriormente.

Resina composta
O amálgama vem caindo em desuso e quem veio para substituí-lo foi a resina composta.
Com bom custo-benefício e durabilidade considerável, atualmente é o material mais usado para a restauração. Seu aspecto, ao final do tratamento, também se assemelha ao aspecto original do dente, preservando a estética do sorriso.
A sua forma de aplicação é diferente do amálgama por ser flexível, de forma que o dentista faz a restauração no consultório, moldando a resina ao dente e, por conta desse material só endurecer com a exposição à luz (fotopolimerização), é mais fácil realizar esse processo sem erros.
Normalmente, o dentista não precisa de mais de um dia para finalizar a restauração e, mesmo que seja flexível, todo o processo é feito preservando a qualidade do material e garantindo que fique bem fixo ao dente.
Todas essas características garantem que a mastigação não seja prejudicada e que o aspecto estético seja preservado.
Leia mais: Fotopolimerizador odontológico: conheça as suas funções

Em que casos fazer restauração dental?
A restauração dentária é muito importante para a saúde bucal. Como falamos anteriormente, além de questões estéticas que envolvem autoestima, outros problemas como infecções, dificuldades na mastigação e até mesmo na fala podem ser evitados com esse procedimento.
No entanto, lembramos que o diagnóstico indicando a necessidade de restauração deve ser fornecido por um dentista.
Eliminar cáries
As cáries, por menor que se apresentem, causam estragos que, se evoluírem, podem acarretar a perda dental.
Isso acontece porque com o tempo, as bactérias vão formando uma cavidade no dente que não pára de aumentar caso não seja tratada.
O processo de eliminar a cárie provoca desgaste do dente, afinal, é necessário eliminar o tecido que foi afetado pelas bactérias. Dessa forma, a restauração é necessária para reconfigurar os espaços que se formaram para que não haja a incidência de novas cáries.
Caso o espaço permaneça, é possível que a escovação, ainda que cuidadosa, não consiga fazer a limpeza adequada e a nova formação de cárie pode agravar o quadro.
Esse agravamento pode levar a problemas no nervo e à necessidade de um tratamento mais avançado, através da endodontia, os famosos canais.

Restaurar dentes amarelados
O tempo age em todos os tecidos do corpo, provocando alteração. Com os dentes não seria diferente, já que o desgaste dentário pode comprometer a sua estrutura, coloração e sensibilidade.
Alguns hábitos agravam esse problema, como fumar e consumir bebidas com corantes, por exemplo, fazendo com que o dente fique amarelado.
Neste caso, a restauração recompõe o aspecto, eliminando o amarelado dos dentes.

Fratura nos dentes
Vários tipos de fraturas podem ocorrer nos dentes, causando estragos desde a raiz até o esmalte.
Na mastigação ou através de um trauma, é possível que o dente sofra alguma lesão ou quebra de parte de tecido.
O bruxismo é outro exemplo de causa de lesões no esmalte dos dentes e todas essas questões podem ser tratadas com a restauração.

Corrigir a cor
Quando o desgaste dentário expõe a dentina, o tecido que é recoberto pelo esmalte, é possível que surjam manchas amareladas nos dentes.
Essas manchas prejudicam a estética, além de estarem associadas à hipersensibilização do dente.
A restauração, nesses casos, corrige a coloração e protege contra a sensibilidade excessiva e exposição a infecções.

Para Dentistas: Onde fazer aperfeiçoamento em resinas?
Na EAP Goiás temos cursos de aperfeiçoamento em resina. Sendo um curso específico para resinas em dentes posteriores; e outro curso, resinas em dentes anteriores!
Algumas das vantagens de se estudar na EAP:
- Irá aprender a resolver particularidades dos planejamentos clínicos;
- Visão multidisciplinar e conhecimento em recursos tecnológicos
- Buscar a satisfação do cliente por meio dos resultados obtidos;
- Melhoria no foco, visão sistêmica do consultório e gestão de tempo;
- Conquista do autodesenvolvimento para realização profissional;
- Projeto Pedagógico que privilegia as exigências mercadológicas;

Ao longo desse texto, trouxemos muitas informações para esclarecer as dúvidas sobre a restauração dental.
Apesar de ser um procedimento simples e não invasivo, é necessário que o profissional esteja preparado para fazê-lo, tanto com as técnicas corretas, quanto com o domínio dos materiais a serem utilizados.
Esperamos que essas informações tenham sido úteis, compartilhe esse texto!
*O texto acima foi preparado a partir de muita pesquisa para ajudar nas suas dúvidas. Porém, não foi escrito por um dentista, assim a EAP não se responsabiliza pelas informações pois não possuem caráter científico.