Atualmente, o avanço tecnológico permite a utilização de implantes com sucesso na maioria dos casos, apresentando boa durabilidade e eficácia. No entanto, quando não são bem feitos ou não há o cuidado correto, o paciente pode desenvolver doenças peri-implantares.
As doenças peri-implantares podem acometer a mucosa gengival e/ou os ossos, através de inflamação dos tecidos adjacentes ao implante dental.
Infelizmente, esse tipo de ocorrência bucal tem sido comum nos últimos anos, tendo como principal causa os implantes feitos em condições não ideais.
Neste artigo, traremos todas as informações para você entender melhor as doenças pré-implantares, condições de aparecimento, causas, tipos e tratamentos indicados.
Para você que é ou está se tornando um dentista, também indicaremos como se especializar nessa área. Continue com a gente e boa leitura!
Leia mais: Como conciliar a pós-graduação com a rotina profissional?

O que são doenças peri-implantares?
As doenças pré-implantares, como mencionamos, ocorrem após a realização dos implantes.
Atualmente, é bastante comum os dentistas indicarem os implantes para os pacientes que, na maioria das vezes, se adaptam bem a eles.
Os implantes dentários estão relacionados à saúde e à autoestima em pacientes que, porventura, tenham passado pela perda dentária.
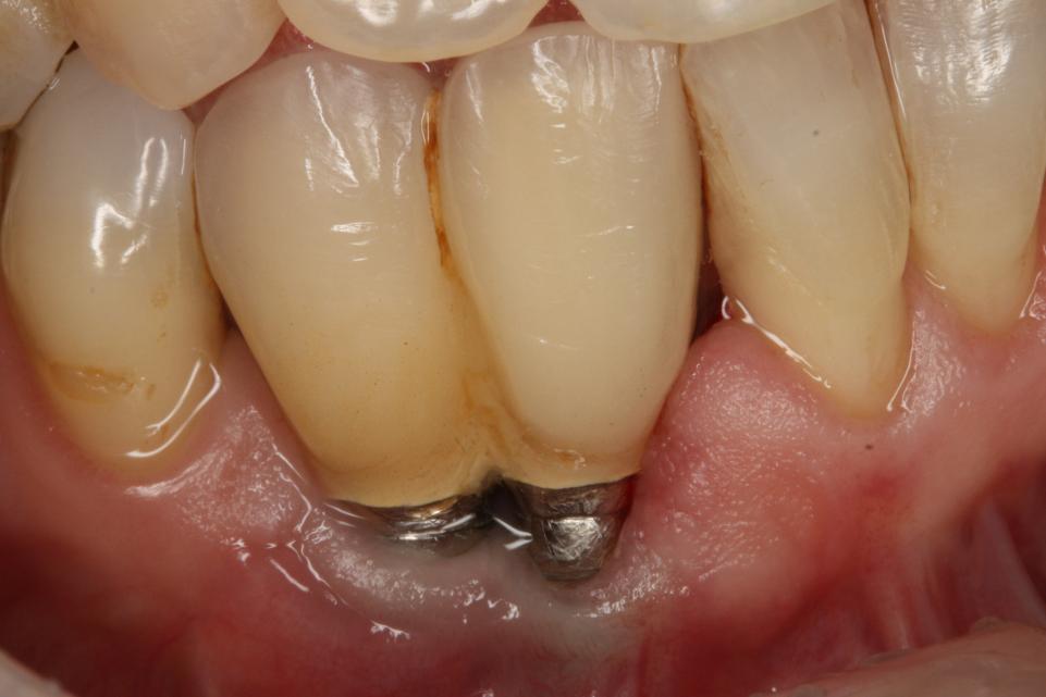
No caso das doenças peri-implantares, os implantes, que são integrados aos ossos da pessoa, podem causar inflamações tanto nos próprios ossos quanto nos chamados tecidos moles, que compreendem as gengivas.
Nesse caso, alguns sintomas como eritema, sangramento à exploração, edema e supuração podem ser observados.

Como as doenças peri-implantares são causadas?
Uma das causas mais frequentes é o desenvolvimento de placa bacteriana o que também pode ter sido, em alguns casos, o problema causador da perda do dente original.
Além disso, outras causas são ligadas aos chamados fatores de retenção e a falta de espaço adequado para as próteses.
Alguns dentistas alertam para fatores de risco, que podem aumentar as chances do aparecimento das doenças peri-implantares como o tabagismo, a má higiene bucal e ocasionalmente, alguma doença periodontal.
A má higiene também pode provocar o aparecimento das placas bacterianas que, como dissemos anteriormente, é uma das grandes causas das doenças peri-implantares.
Pode aparecer tanto no início do uso dos implantes, quanto pode aparecer como uma dor no implante dentário após anos.

Tipos de doenças peri-implantares
As alterações patológicas dos tecidos pré-implantares podem ser classificadas em dois tipos:
- Mucosite peri-implantar
- Peri-implantite
Vamos entender melhor esses dois tipos a seguir.
O que é peri-implantite?
Esse é o segundo tipo de doença peri-implantar e acontece com menor frequência. Normalmente, acomete de 28% a 55% dos pacientes com implantes.
Também é uma lesão inflamatória causada pela ação da placa bacteriana em sulco peri-implantar, no entanto, essa lesão avança para os ossos de suporte, podendo levar à perda da união funcional entre osso e implante.
É como se fosse um segundo estágio da mucosite, trazendo mais sintomas como vermelhidão gengival, inchaço, presença de edemas, formação de pus, sangramentos, perda óssea e até mesmo a mobilidade.
É possível que, nesse estágio, haja perda progressiva e significativa do osso onde o implante foi realizado.

O que é mucosite peri-implantar?
As mucosites ocorrem ao redor dos implantes, normalmente nos tecidos moles ou mucosas. São inflamações que podem variar entre brandas e severas, podendo ser acompanhadas de abscessos.
Acontece com frequência em implantados, acompanhando possíveis inflamações da placa bacteriana no sulco periimplantar.
Os principais sintomas são sangramento gengival, ulceração e, como informamos, abscesso gengival.

Sintomas das doenças peri-implantares
Os sintomas de infecção no implante dentário variam conforme o estágio e a gravidade da doença.
No caso das mucosites, que representam o estágio inicial e ainda reversível da infecção, os sinais mais comuns incluem: sangramento gengival ao toque ou à escovação, presença de úlceras na mucosa ao redor do implante e formação de abscessos localizados. Quando identificada precocemente, essa condição responde bem ao tratamento e não compromete o implante.
Já no caso da peri-implantite, quadro mais avançado e de maior gravidade, esses sintomas se associam a outras manifestações clínicas como: vermelhidão intensa ao redor do implante, edema persistente nos tecidos moles, formação de pus e, nos casos mais severos, perda óssea progressiva ao redor do implante, o que pode comprometer sua estabilidade e, em último caso, levar à necessidade de remoção.
Então, você deve se perguntar se é normal inchaço após implante dentário? Sim, o inchaço é uma resposta fisiológica esperada após a cirurgia de implante dentário, mas existe um limite para o que pode ser considerado normal.
No entanto, o inchaço passa a ser motivo de atenção quando:
- Persiste ou aumenta após o 3º dia, em vez de regredir;
- Vem acompanhado de uma intensa dor latejante após implante dentário;
- Apresenta vermelhidão excessiva, calor local ou pus;
- Causa dificuldade para abrir a boca ou engolir;
- O paciente desenvolve febre associada ao edema.

Como se prevenir de doenças peri-implantares?
Independente do fato de o implante ter sido bem-sucedido, é importante que o paciente seja estimulado a tomar certos cuidados, especialmente no que diz respeito à higiene bucal.
A escovação, seguida do uso do fio dental deve ser realizada pelo menos três vezes ao dia, especialmente após as refeições.
É importante realizar limpezas semestrais em consultório e não negligenciar as visitas para acompanhamento do implante.
Esses cuidados são básicos, mas muito eficazes no que diz respeito à prevenção das doenças peri-implantares.

Tratamento para doenças peri-implantares
Os tratamentos variam de acordo com o tipo de doença peri-implantar instalada.
A mucosite é considerada mais simples, assim como seu tratamento. Nesse caso, é possível usar tratamentos não cirúrgicos.
- O debridamento mecânico pode ser feito com materiais que não danifiquem a superfície do implante.
- É possível também que seja indicado o uso de antissépticos locais antimicrobianos, através de antibióticos para promover a regressão da infecção.
- Pode ser necessário fazer uma descontaminação, como com terapia a laser para eliminar bactérias.
Contudo, para a peri-implantite, em que há perda óssea, o tratamento cirúrgico é recomendado, apesar de não ser uma regra.
Há dois tipos de cirurgia que podem ser indicados: a ressectiva e a regenerativa.
No primeiro caso, para a ressectiva, a recomendação é para os casos em que precisa reduzir o tecido afetado. Pode não ser recomendado porque nesse caso ocorre a exposição de parte do implante, interferindo na sua higienização e deixando-o suscetível às bactérias.
A cirurgia regenerativa é a indicada para reparar o tecido ósseo. Embora ainda não seja um procedimento indicado por todos os dentistas, vem sendo estudada e as pesquisas indicam que contribui para a cicatrização e estabilidade do implante.
Uma dúvida comum é em relação ao pus no implante dentário, o que fazer? Ao identificar a presença de pus ao redor do implante, o ideal é procurar o dentista imediatamente. O profissional irá avaliar o grau de infecção e indicar o tratamento adequado, que geralmente envolve limpeza profissional da área, uso de antibióticos e, dependendo da gravidade, um procedimento cirúrgico para descontaminação do implante.
A automedicação não é recomendada, de forma nenhuma, para o tratamento das doenças peri-implantares. Isso pode agravar o quadro.

Como se especializar em tratar de doenças peri-implantares sendo dentista?
O curso Cirurgias Avançadas em Reconstrução Tecidual Periodontal e Periimplantar é oferecido pela EAP Goiás sob a coordenação do Dr. Ricardo Bomfim. Utiliza as informações tecnológicas mais atuais para cuidados com os dentes, incluindo as formas de tratamento, reconstrução e estética envolvida nessa área.
Portanto, é um curso completo que te torna apto a fazer planejamento interdisciplinar e aplicação dos conceitos com materiais e tecnologias avançadas para a realização de técnicas cirúrgicas que consideram os fatores estéticos dos tecidos periodontais e periimplantares e recuperação de sequelas provenientes da destruição tecidual.
Para quem deseja se especializar na área, é importante que faça em uma instituição séria, com muitos anos de mercado e profissionais de excelência.
A experiência, neste caso, está aliada às novas tecnologias a serviço de um aprendizado de excelência.

Esperamos que tenha gostado desse artigo e que compartilhe com mais pessoas!
*O texto acima foi preparado a partir de muita pesquisa para ajudar nas suas dúvidas. Porém, não foi escrito por um dentista, assim a EAP não se responsabiliza pelas informações pois não possuem caráter científico.